
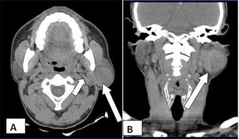
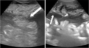
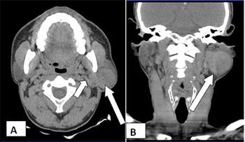
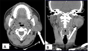
Case History: 35-year-old patient with gradually progressive, painless swelling in left parotid region, unremarkable history.

Case History: 35-year-old patient with gradually progressive, painless swelling in left parotid region, unremarkable history.

Case History: 45-year-old female with complaint of occasional headache for three years, had normal neurological and systemic exams.

Case History: 75-year-old patient presented with complaints of six months of abdominal distension, generalized abdominal pain and breathlessness when lying down.

Published: May 20th 2014 | Updated:

Published: May 27th 2014 | Updated:

Published: June 24th 2014 | Updated: