
Case History: 24-year-old female with pain while chewing and locking of jaw.

Case History: 24-year-old female with pain while chewing and locking of jaw.

Case History: 24-year-old male with complaints of shoulder pain, slowly increasing swelling for five years.

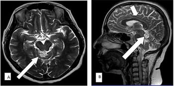
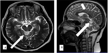
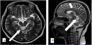
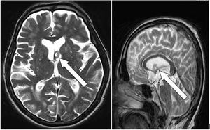
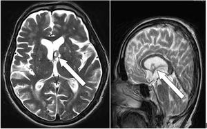
Case History: 75-year-old male with complaint of occasional headaches for last two years.

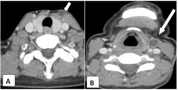
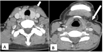
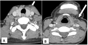
Case History: 75-year-old male presents with complaint of mucus discharge from external opening on skin at anterior aspect of mid part of neck on the left side.

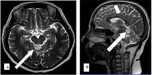
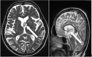
Case History: 45-year-old female with complaint of occasional headache for three years, had normal neurological and systemic exams.

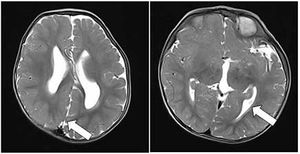
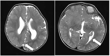
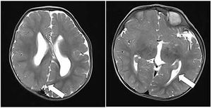
Case History: 15-month-old with focal seizure, developmental delay, disproportionate increase in size of head.

Published: May 13th 2014 | Updated:

Published: May 27th 2014 | Updated:

Published: August 19th 2014 | Updated:

Published: September 2nd 2014 | Updated:

Published: February 9th 2016 | Updated:

Published: January 10th 2017 | Updated: