Nelson Nkosi

Articles by Nelson Nkosi

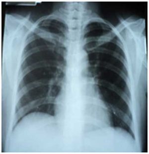
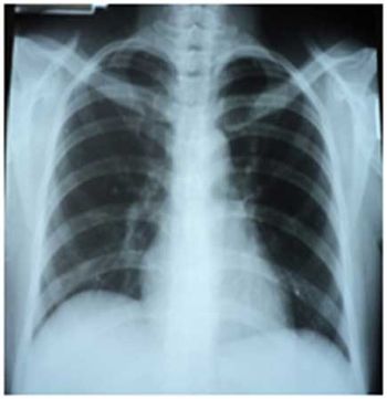
Peritonitis

Case history: Patient first reported to the hospital on May 15, 2013, with complaint of severe right shoulder pain and at some times breathlessness.

Latest Updated Articles