
Robert Princenthal, MD
Advertisement
Articles by Robert Princenthal, MD

Advertisement
Latest Updated Articles
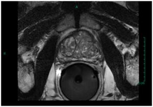
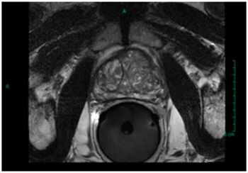
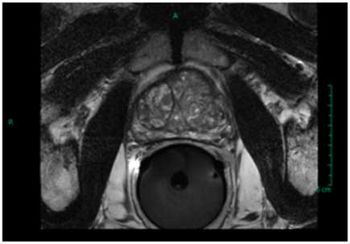
Granulomatous ProstatitisPublished: March 25th 2014 | Updated:
Advertisement
Advertisement
Trending on Diagnostic Imaging
1
Are Head CT Scans Overutilized in Emergency Departments?
2
Can AI Assessment of Non-Calcified Plaque Volume Enhance CT Assessment of MACE Risk Beyond CAC Scoring?
3
Study Looks at Combining PCCT and Lung Texture Analysis for Evaluating ILD in Patients with Systemic Sclerosis
4
Diagnostic Imaging's Weekly Scan: December 7 — December 13
5

