
Catch up on recent interviews with Jean-Luc C. Urbain, M.D., Amir Iravani, M.D., Liza Lindenberg, M.D., and more faculty from the Society of Nuclear Medicine and Molecular Imaging (SNMMI) 2025 conference.

Catch up on recent interviews with Jean-Luc C. Urbain, M.D., Amir Iravani, M.D., Liza Lindenberg, M.D., and more faculty from the Society of Nuclear Medicine and Molecular Imaging (SNMMI) 2025 conference.

In a recent interview at the SNMMI conference, Ryota Satoh, Ph.D., discussed new positron emission tomography (PET research examining the role of neuroinflammation in differentiating between progressive apraxia of speech (PAOS) and Parkinson-plus syndrome.

In a recent interview, Jean-Luc C. Urbain, M.D., Ph.D., the new president of the Society for Nuclear Medicine and Molecular Imaging, discussed current challenges in nuclear medicine and key goals, including improved access to nuclear medicine for people in underserved communities.

In a recent interview at the SNMMI conference Amir Iravani, M.D., discussed a new sub-analysis from the CONDOR study, which revealed consistently high positive predictive value for 18F-piflufolastat PSMA PET/CT in the detection of local prostate cancer recurrence.

In a recent interview at the SNMMI conference, Liza Lindenberg, M.D., discussed preliminary research findings that suggest the potential of the 18F-fluciclovine PET/CT for detection of multiple myeloma.

For patients being treated with radiopharmaceutical agents for metastatic prostate cancer, the combination of botulinum toxin and an anti-nausea patch led to a 30 percent reduction in PSMA uptake in the salivary glands, according to preliminary research findings presented at the SNMMI conference.

In an ongoing prospective study of patients with biochemical recurrence of PCa and an initial negative PSMA PET/CT, preliminary findings revealed positive 18F-fluciclovine PET/CT scans in over 54 percent of the cohort, according to a recent poster presentation at the SNMMI conference.

In a recent interview at SNMMI conference, Merle Hoenig, Ph.D., discussed new tau PET research examining genetic and modifiable risk factors that contribute to the progression of Alzheimer’s disease.

In addition to over 90 percent sensitivity in detecting hepatocellular carcinoma (HCC), the glypican-3 (GPC3) targeted PET tracer 68Ga-aGPC3-scFv appeared to be advantageous in identifying HCC tumors smaller than one centimeter, according to pilot study findings presented at the SNMMI conference.

The dual-targeted 177Lu-DOTA-FAPI-RGD reportedly reduced or stopped the growth of cancer lesions in 88.9 percent of advanced adenocarcinomas in a small cohort of patients with varied cancers including pulmonary, pancreatic and ovarian cancer, according to new research presented at the SNMMI conference.

While (68Ga)Ga-PSMA-11 offers a pooled sensitivity rate of 92 percent for prostate cancer, (18F)-based radiotracers may offer enhanced lesion detection as well as improved imaging flexibility, according to a meta-analysis presented at the Society for Nuclear Medicine and Molecular Imaging (SNMMI) conference.

Multimodal treatment monitoring, including SPECT/CT exams 24 hours after treatment with Lu-177 PSMA-617, may have facilitated significantly shorter therapy durations and reduced side effects in patients with mCRPC, according to a two-year study presented at the Society for Nuclear Medicine and Molecular Imaging (SNMMI) conference.

Emphasizing a zero-click experience, the updated LesionID Pro software, to be introduced at the SNMMI conference, reportedly provides AI-powered automated insights into whole-body tumor burden with PET and SPECT imaging.

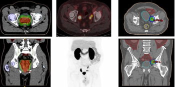
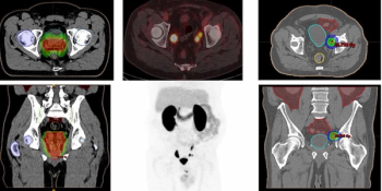
Initial detection of metastatic prostate cancer via 68Ga-PSMA-11 PET/CT was significantly associated with PSA values > 20 ng/ml, ISUP grade > 3 and MRI T-stage > 3, according to research presented recently at the SNMMI conference.

In a recent interview at the SNMMI conference, David Gauden, D.Phil, discussed key findings from new research evaluating the use of the PET radiotracer 18F-flotufolastat in patients with primary prostate cancer (PCa) and men with biochemical recurrence of PCa.

Improved assessment of axillary lymph node status with FAPI PET/CT led to restaging of nearly 71 percent of patients with breast cancer, according to new research presented at the SNMMI 2024 conference.

Ultra-low dosing with long axial field-of-view positron emission tomography (PET) scanners facilitates qualitative PET imaging at a more than 50 percent reduction of conventional radiation dosing with PET, according to new research presented at the SNMMI 2024 conference.

Deep transfer learning may elevate the capability of whole-body PET/CT scans to diagnose multiple cancers, ranging from breast cancer and lung cancer to melanoma and prostate cancer, according to new research presented at the SNMMI conference.

In an interview at the SNMMI 2024 conference, Oliver Sartor, M.D. discussed key findings from new award-winning research evaluating the potential of Pluvicto in treating patients with taxane-naïve metastatic castration-resistant prostate cancer (mCRPC).

In a cohort of 85 patients with biomechanical recurrence of prostate cancer and PSA values less than 2 ng/mL, positive findings on PET imaging with PSMA-18F DCFPyL led to treatment changes in the majority of patients who had negative findings on conventional imaging, according to new research presented at the SNMMI conference.

Emphasizing enhanced time-of-flight performance and an energy-efficient design, the Biograph Trinion PET/CT system can reportedly be utilized for a variety of imaging needs, ranging from theranostic applications to neurology imaging.

In a recent interview, Cathy Cutler, Ph.D., shared her perspective on a number of topics affecting nuclear medicine, ranging from isotope availability and reimbursement challenges for diagnostic radiopharmaceuticals to increasing patient interest in PET imaging.

For patients with interstitial lung disease, FAPI PET/CT was more effective than 18F-FDG PET/CT at predicting progressive pulmonary fibrosis according to comparative study findings presented at the 2024 Society of Nuclear Medicine and Molecular Imaging (SNMMI) Annual Meeting.

The use of 90Y-FAPI-46 radioligand therapy resulted in controlled disease progression in nearly half of a 30-person cohort largely comprised of patients with advanced sarcomas, according to new research presented at the 2024 Society of Nuclear Medicine and Molecular Imaging (SNMMI) Annual Meeting.

In addition to new advances in PET/CT imaging to facilitate precision imaging, the company will also unveil a device at the SNMMI conference that allows in-house production of commercial PET tracers.

Researchers noted a 20.1 percent incidence of bone-only metastasis in a cohort of men with castration-resistant prostate cancer, according to findings from research presented at the recent Society for Nuclear Medicine and Molecular Imaging (SNMMI) conference.

Twice-a-day consumption of reconstituted grape powder provides significant long-term benefit in preserving cerebral metabolism for people with mild cognitive decline, according to research presented at the recent Society for Nuclear Medicine and Molecular Imaging (SNMMI) conference.

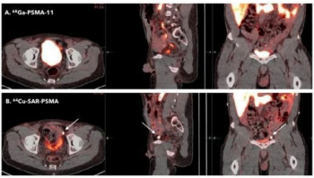
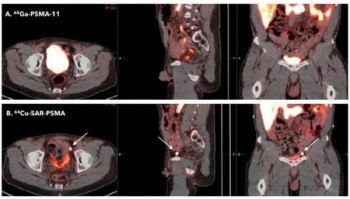
The PSMA PET agent 64Cu SAR-bisPSMA detected a higher number of prostate cancer lesions and had a significantly higher SUVmax and SUVmean than 68Ga PSMA-11 PET/CT, according to initial data from a prospective multisite study presented at the recent Society of Nuclear Medicine and Molecular Imaging (SNMMI) conference.

In interviews at the Society of Nuclear Medicine and Molecular Imaging (SNMMI) conference, researchers discussed the potential impact of ultra-high resolution brain positron emission tomography (PET) as well as emerging PET radiotracers for detecting coronary artery disease in obese patients and diagnosing clear cell renal cell carcinoma.

In an analysis of patients with intraprostatic/prostate bed findings of biochemical prostate cancer recurrence, the use of 18F-DCFPyL PET/CT led to an 82.3 percent cancer detection rate in comparison to 80 percent for multiparametric MRI, according to research presented at the recent Society for Nuclear Medicine and Molecular Imaging (SNMMI) conference.