
|Slideshows|June 27, 2017
45 y/o with Abdominal Discomfort
Author(s)Harpreet Singh, MD
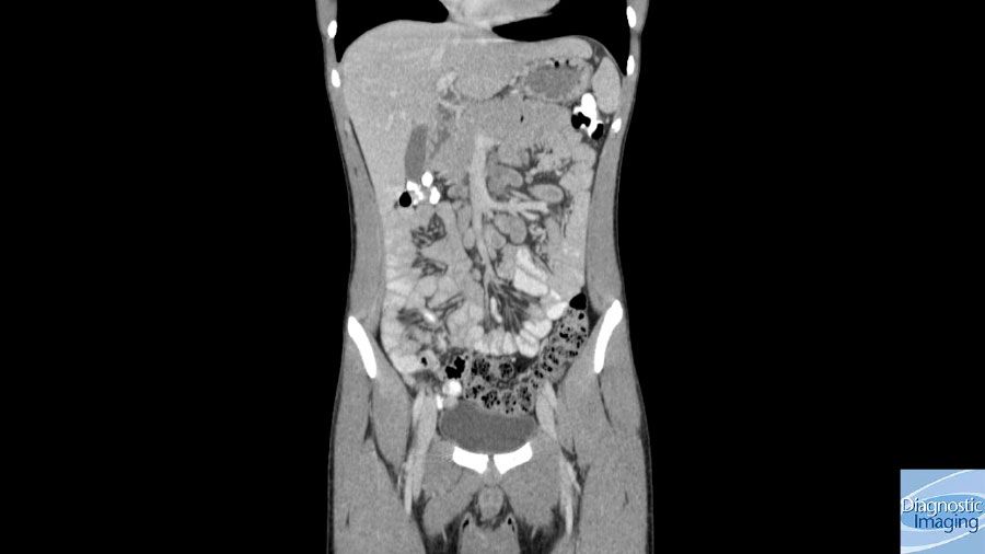
Case History: 45-year-old patient presented with history of abdominal discomfort.
Advertisement
Case History: 45-year-old patient presented with history of abdominal discomfort.
Newsletter
Stay at the forefront of radiology with the Diagnostic Imaging newsletter, delivering the latest news, clinical insights, and imaging advancements for today’s radiologists.
Advertisement
Latest CME
Advertisement
Advertisement
Trending on Diagnostic Imaging
1
FDA Grants De Novo Approval for Home Use of Prenatal Ultrasound Platform
2
‘How Did That Happen?’: Course Correction Versus Consternation in Radiology
3
Can Ultrasound-Derived Fat Fraction Provide a Viable Alternative for Quantifying Hepatic Steatosis?
4






























