
|Articles|March 24, 2022
Image IQ Quiz: 57-Year-Old Female with Altered Mental Status
Author(s)Ahmed Rizvi, MD
What is your diagnosis?
Advertisement
Case submitted by
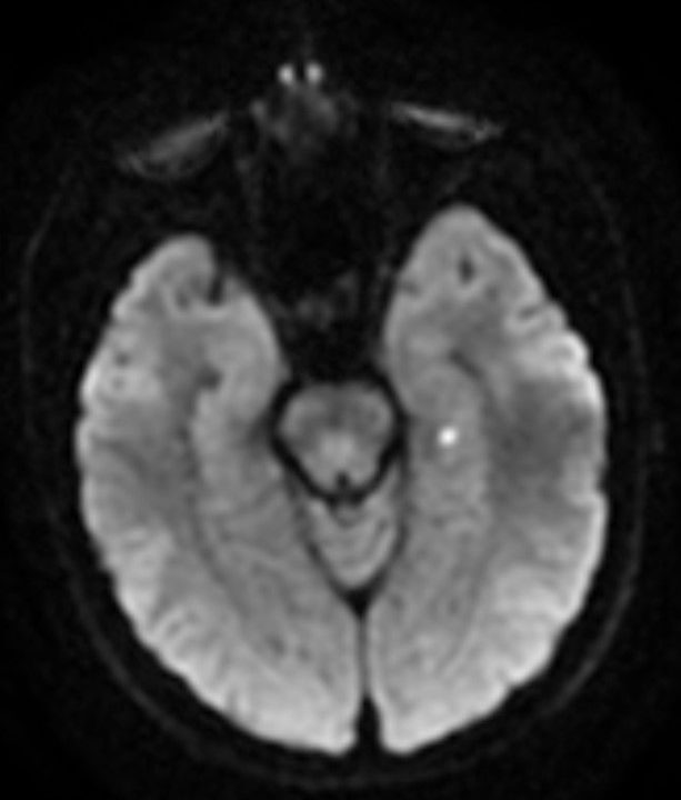
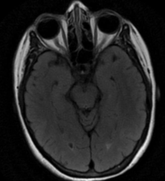
A 57-year-old female presents with an altered mental status. What do the images reveal?
Newsletter
Stay at the forefront of radiology with the Diagnostic Imaging newsletter, delivering the latest news, clinical insights, and imaging advancements for today’s radiologists.
Advertisement
Latest CME
Advertisement
Advertisement
Trending on Diagnostic Imaging
1
Nine Takeaways from New Review of PSMA PET/CT and Whole-Body MRI for Advanced Prostate Cancer
2
Study Shows Merits of CT Vascular Sign for Differentiating Solid Pulmonary Nodules
3
Prospective Study Shows Capability of CXR AI to Detect Early-Stage Lung Cancer in Young Patients and Never Smokers
4






























