
|Slideshows|January 23, 2018
Vomiting, Abdominal Pain
Author(s)Harpreet Singh, MD
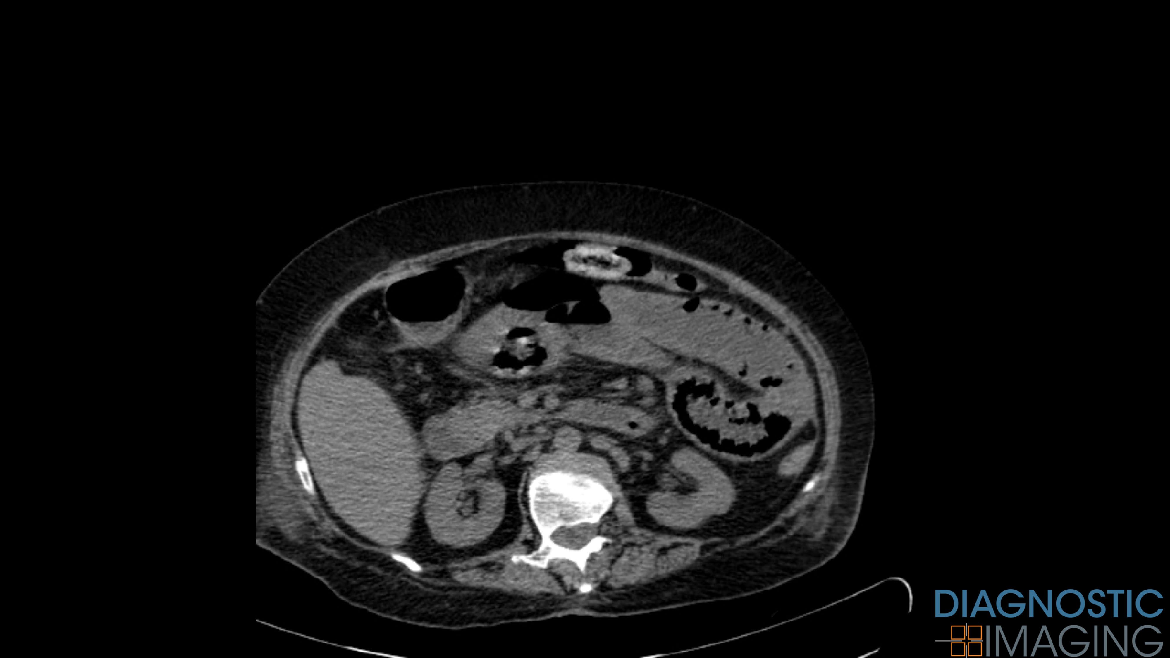
Case History: 60-year-old patient with vomiting and abdominal pain.
Advertisement
Case History: 60-year-old patient with vomiting and abdominal pain.
Newsletter
Stay at the forefront of radiology with the Diagnostic Imaging newsletter, delivering the latest news, clinical insights, and imaging advancements for today’s radiologists.
Advertisement

































