
AI Coverage
about 10 hours ago
Harrison.ai Launches AI-Powered Chest CT Software15 days ago
Top Five Radiology Content — October 2025Latest News

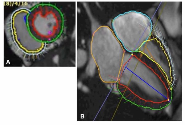
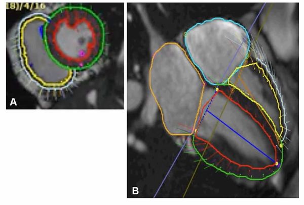
Is MRI Assessment of Right Ventricular Global Longitudinal Strain Prognostic for Heart Failure?

Emerging Radiology Platform Offers Access to Variety of CT-Based AI Applications

Harrison.ai Launches AI-Powered Chest CT Software

Emerging CCTA Research Shows Prognostic Value of AI Quantification of Plaque Burden for Assessing Cardiovascular Risks

Study Assesses Brain MRI Changes in Soccer Fans

Shorts









Podcasts
Videos
Continuing Medical Education
All News

In a prospective study comparing PSMA PET/CT and mpMRI for biopsy- and imaging-naïve men with suspected prostate cancer (PCa), PSMA PET/CT led to altered management in 34 percent of confirmed cases of PCa.

There are no modifications to the order when it comes to CMS and insurance company criteria for reimbursement.

Catch up on the top radiology content of the past week.

In a recent interview, Hari Kishan Gonuguntla, M.D., discussed AI-powered evaluation of chest X-rays with the Lung Nodule Malignancy Score software and key findings from multinational prospective research presented at the recent ESMO Congress 2025 meeting.

New research shows that incorporating the CT vascular sign into assessments of pulmonary nodules led to significant increases in specificity and accuracy as well as reduced false positive rates for differentiating between malignant and benign solid pulmonary nodules.

In the second part of a recent interview on new molecular imaging guidelines for renal masses, Steven Rowe, M.D., discussed the off-label utility of the mitochondrial imaging agent 99mTc-sestamibi and the potential role of AI in advanced imaging for indeterminate renal masses.

In a new review from the European Society of Urogenital Radiology (ESUR), researchers discuss the merits and limitations of PSMA PET/CT and whole-body MRI (WB-MRI) for patients with advanced prostate cancer.

Researchers found no statistically significant differences between bpMRI and mpMRI evaluations of patients with PI-RADS 3 presentations, according to a new multi-reader study.

The Harrison.ai Open Platform reportedly emphasizes open architecture, customer ROI and elimination of costly AI platform fees.

The Sonosite MT ultrasound device reportedly combines portability and enhanced high-resolution images with multiple features to promote workflow efficiency.

Contrast-enhanced mammography demonstrated a 95 percent specificity rate and 83.5 percent positive predictive value for ascertaining pathologic nipple involvement, according to a new multicenter study.

In a recent interview, Steven Rowe, M.D., discussed pertinent insights from recently published molecular imaging guidelines for renal masses and the potential of 89Zr-girentuximab for clear cell renal cell carcinoma (ccRCC).

Ultrasound-derived fat fraction assessment offered higher AUCs for differentiating mild, moderate and severe hepatic steatosis in comparison to established noninvasive measures of metabolic dysfunction-associated steatosis liver disease (MASLD), according to new multicenter research.

Already in use in multiple countries, the Pulsenmore ES ultrasound platform reportedly enables expectant mothers to transmit ultrasound video clips through a smartphone app for remote interpretation.

One can rail about the forces that resulted in an undesirable status quo direction or take a more active role in grabbing the steering wheel.








































