
AI Coverage
Latest News

Samsung to Unveil AI-Powered R20 Ultrasound System at RSNA

Emerging MRI Research Suggests Link Between Muscle Mass, Belly Fat and Brian Aging

Health Care Reform: Thoughts From a Radiologist to Be Ignored

Diagnostic Imaging's Weekly Scan: November 16 — November 22

New Study Shows Doubling of Head CT Scans in Emergency Departments

Shorts










Podcasts
Videos
Continuing Medical Education
All News

Geared toward interventional radiologists, the Alphenix 4D CT with Aquilion One/Insight Edition combines angiography capabilities with advanced features in computed tomography.

For T3-T4 rectal cancer staging, a new study showed that optimal photon-counting CT offered an AUC range between 80 and 86 percent in comparison to an AUC range between 78 and 88 percent for rectal MRI.

The recently launched PIV Assist reportedly offers a variety of features including real-time calculation of the catheter-to-vein ratio and pre-scan differentiation of veins and arteries to facilitate vascular access planning.

The use of radiomics for mammography may help predict the development of occult invasive cancer in women with ductal carcinoma in situ (DCIS), according to a new study.

In a recent interview, Christoph Lee, M.D., discussed key findings from the ASSURE study, which evaluated the use of AI in detection and triage in a multicenter trial involving over 579,000 women who had digital breast tomosynthesis (DBT) exams.

The Synapse One platform reportedly offers a variety of enterprise imaging capabilities and may facilitate reduced third-party integration complexities and costs.

Along with the capability of automated measurements and 3D reconstructions of the aorta, Rapid Aortic may facilitate earlier detection of aortic aneurysms and dissections on computed tomography exams.

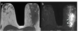
Incorporating mpMRI radiomics, clinical characteristics, deep learning and pathomic features, a multimodal model offered 82 percent and 87 percent AUCs for predicting overall survival outcomes at five years and seven years, respectively, for women treated with neoadjuvant chemotherapy for breast cancer.

The newly launched Compass AI software platform reportedly facilitates a 94 percent compliance rate for documentation of point-of-care ultrasound (POCUS) exams.

The gallium-68 radiolabeled PET imaging agent ITM-94 is currently being evaluated in a phase 1/2 trial for its utility in detecting ccRCC and differentiating indeterminate renal masses.

Photon-counting computed tomography demonstrated over 20 percent accuracy at the patient level and nearly 14 percent higher accuracy level at the vessel level in comparison to energy-integrating detector CT for detecting > 70 percent stenosis, according to a newly published study.

Exploring ways to bolster efficiency in an ongoing manner can help mitigate the strain of burgeoning worklists and improve morale.

Catch up on the top radiology content of the past week.

In a recent interview, Ibrahim Danad, M.D., Ph.D., discussed new research findings from the multicenter CONFIRM2 trial and use of the AI-CT software to obtain automated quantification of plaque burden based off coronary computed tomography angiography (CCTA) scans.

The latest update of the Cardiovascular Workspace software reportedly emphasizes secure cloud deployment and accelerated adoption of AI tools for increased efficiency.





































