
AI Coverage
8 days ago
Top Five MRI Content for 20259 days ago
Top Five Radiology Content for 202510 days ago
Top Five Mammography Content for 202511 days ago
Computed Tomography: 2025 Year in ReviewLatest News

FDA Clears Radiotherapy System with 20-Fold Increase in PET Imaging Sensitivity for Tumor Detection

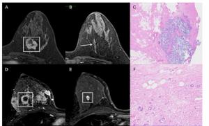
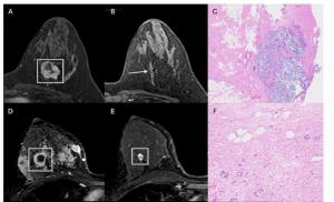
Study: MRI May Help Predict Outcomes in Treatment for Triple-Negative Breast Cancer

FDA Clears 1.5T MRI Platform with Helium-Free Technology

Study Affirms Impact of Contrast-Enhanced Mammography for Screening Recalls

Study Suggests Merits of PSMA PET/MRI for Detecting HCC in LI-RADS 3 Cases

Shorts










Podcasts
Videos
All News

In a study involving over 1,400 patients who had abdominal or pelvic CTs, the large language model GPT-4o selected optimal protocols in 96.2 percent of cases in comparison to 88.3 percent for radiologists.

The Echo Stewardship Program, which allows non-sonographer clinicians to perform focused cardiac ultrasound exams under physician guidance, is now cleared for use across handheld, laptop and cart-based ultrasound platforms

In a recent interview, Jeremie Calais, M.D., Ph.D., discussed new research examining the prognostic capacity of PSMA PET parameters in predicting hematologic toxicity and outcomes for patients treated with (177Lu)Lu-PSMA-617 for mCRPC.

In a new literature review, researchers discuss common patterns and complications with cosmetic fillers that can be revealed on ultrasound imaging.

Catch up on the most popular radiology podcasts from 2025.

How active are you in steering your career course in radiology?

Employing a 77-second scan time for obtaining ultrafast breast MRI views, researchers found a 92.1 percent AUC for differentiating between benign and malignant lesions, according to new prospective study.

Catch up on the most well-read Eric Postal, M.D.-penned radiology blogs from 2025.

Catch up on the most well-viewed MRI content from 2025.

Catch up on the most well-viewed video interviews in December 2025.

In a recent interview, Michael Hofman, MBBS, FRACP, discussed preliminary research findings and the potential utility of the positron emission tomography (PET) agent ITM-94, which recently garnered a fast track designation from the FDA for clear cell renal cell carcinoma (ccRCC).

Catch up on the most well-viewed mammography content from 2025.

From controversial research on radiation-induced long-term cancer risks with computed tomography (CT) scans and the emerging prognostic value of AI-enabled plaque quantification to the potential impact of deep learning and AI-enhanced radiomics in thoracic radiology, here is a look back at the most well-viewed CT content from 2025.

The cloud-based Brain Mets software reportedly provides accelerated detection, measurement and tracking of metastatic brain lesions based on routine brain MRI sequences.









































