
AI Coverage
Latest News

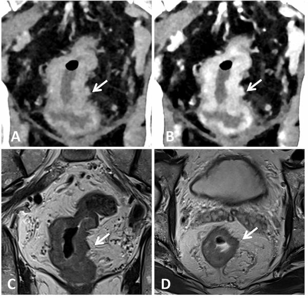
Could Photon-Counting CT Be a Viable Option for Rectal Cancer Staging?

New AI-Powered Ultrasound Feature May Enhance Planning for Peripheral IV Procedures

Study: Radiomic Mammography Features Lead to Upstaging of DCIS in More than 14 Percent of Patients

Mammography Study: Multi-Stage Use of AI for DBT Exams Yields Over 21 Percent Increase in Breast Cancer Detection

Fujifilm Slated to Launch New Enterprise Imaging Platform Synapse One at RSNA

Shorts










Podcasts
Videos
Continuing Medical Education
All News

Along with the capability of automated measurements and 3D reconstructions of the aorta, Rapid Aortic may facilitate earlier detection of aortic aneurysms and dissections on computed tomography exams.

Incorporating mpMRI radiomics, clinical characteristics, deep learning and pathomic features, a multimodal model offered 82 percent and 87 percent AUCs for predicting overall survival outcomes at five years and seven years, respectively, for women treated with neoadjuvant chemotherapy for breast cancer.

The newly launched Compass AI software platform reportedly facilitates a 94 percent compliance rate for documentation of point-of-care ultrasound (POCUS) exams.

The gallium-68 radiolabeled PET imaging agent ITM-94 is currently being evaluated in a phase 1/2 trial for its utility in detecting ccRCC and differentiating indeterminate renal masses.

Photon-counting computed tomography demonstrated over 20 percent accuracy at the patient level and nearly 14 percent higher accuracy level at the vessel level in comparison to energy-integrating detector CT for detecting > 70 percent stenosis, according to a newly published study.

Exploring ways to bolster efficiency in an ongoing manner can help mitigate the strain of burgeoning worklists and improve morale.

Catch up on the top radiology content of the past week.

In a recent interview, Ibrahim Danad, M.D., Ph.D., discussed new research findings from the multicenter CONFIRM2 trial and use of the AI-CT software to obtain automated quantification of plaque burden based off coronary computed tomography angiography (CCTA) scans.

The latest update of the Cardiovascular Workspace software reportedly emphasizes secure cloud deployment and accelerated adoption of AI tools for increased efficiency.

Use of AI provided a pooled 22 percent increase in adenoma detection but no significant impact for advanced adenomas, according to an analysis of 39 randomized controlled trials examining AI’s impact in detecting colorectal cancer.

Multivariable analysis from a new study revealed that those with low right ventricular global longitudinal strain were 16 percent more likely to suffer heart failure.

The launch of the AVI imaging platform reportedly facilitates direct integration into PACS and RS systems, and automated access to adjunctive CT-based AI applications for a variety of conditions including pulmonary embolism, intracranial hemorrhage and large vessel occlusion

Offering a “safety net” in emergency and inpatient settings, the Chest CT software reportedly provides enhanced triage capabilities and adjunctive detection of 167 radiological features.

In a recent interview, Timothy Fairbairn, Ph.D., and Fatima Rodiguez, M.D., discussed new research findings, recently presented at the American Heart Association (AHA) conference, showing the value of AI-powered quantification of plaque burden from CCTA exams for predicting adverse cardiovascular outcomes.

Fan reaction to significant defeats of a soccer team was linked to lower activation of the dorsal anterior cingulate cortex and deactivation of the salience network, which may lead to changes with emotional regulation and cognitive control, according to new brain MRI research.




































