
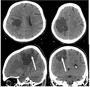
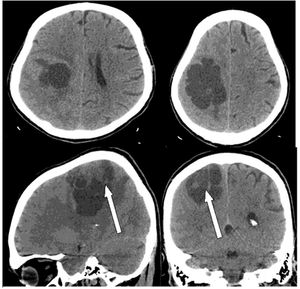
Case History: 15-month-old with focal seizure, developmental delay, disproportionate increase in size of head.

Case History: 15-month-old with focal seizure, developmental delay, disproportionate increase in size of head.

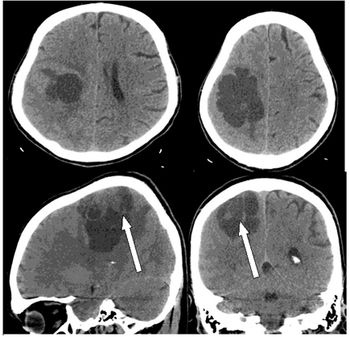
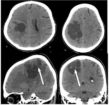
Case History: A 65-year-old patient presented with complaint of sudden onset of left sided hemiparesis.

Published: May 6th 2014 | Updated:

Published: May 13th 2014 | Updated: