
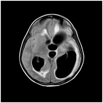
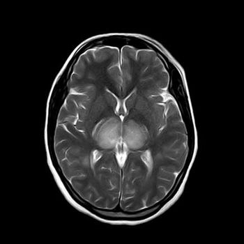
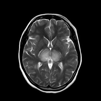
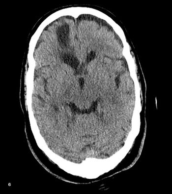
Case History: 42-year-old patient presents with complaints of headache.

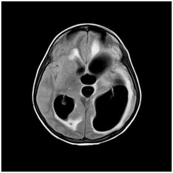
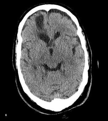
Case History: 42-year-old patient presents with complaints of headache.

Case History: 40-year-old patient lump on left side of back.

Case History: A 27-year-old patient presented with history of headache and seizure.

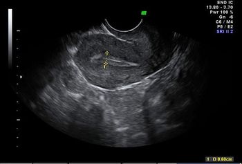
Case History: 25-year-old patient presents for fetal ultrasound.

Case History: Pediatric patient presented with mild swelling of right lower leg.

Case History: 25-year-old patient presents for antenatal ultrasound.

Case History: 35-year-old presents with history of seizures.

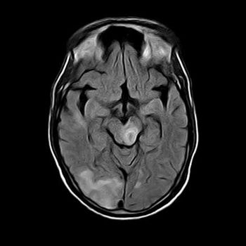
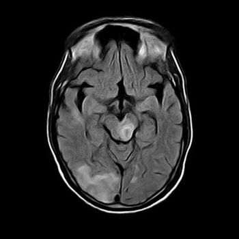
Case History: 40-year-old with history of headache.

Case History: 24-year-old presents with complaints of headache and seizures.

Case History: 27-year-old patient presented with history of trauma.

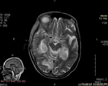
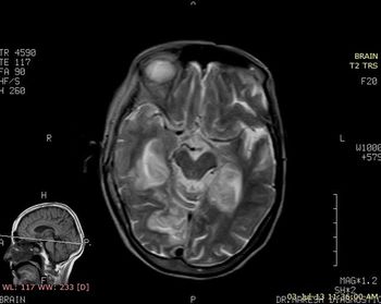
Case History: 31-year-old female presents with complaints of headache and tinnitus.

Case History: 22-year-old patient presented with complaint of swelling of elbow for six months following trauma.

Case History: 10-year-old male child presents with six-month history of difficulty opening mouth.

Case History: 40-year-old patient with one-week history of seizure and altered sensorium.

18-year-old patient with complaints of swelling in left lower limb.

Case History: 12-year-old female presented with fever, altered sensorium, and seizures over a six week period.

Case History: 45-year-old patient with three-month history of swelling in left leg.

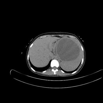
Case History: A 33-year-old patient presented with history abdominal discomfort for 5 months.

Case History: An 18-year-old patient came with complaints of fever and weakness in lower limbs for seven days. Lab investigation showed reduced platelets and Dengue positive serolology.


Clinical History: A 45-year-old patient presented with history of irritability, drowsiness, hemiparesis, ataxia and fever for one week. Patient was advised to undergo brain MRI with contrast

Case History: A 62-year-old patient with a history of swelling on medial aspect of ankle for six months.

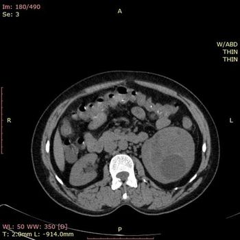
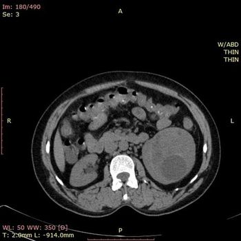
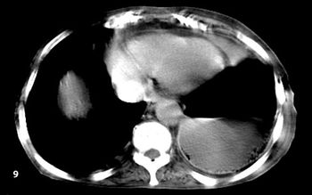
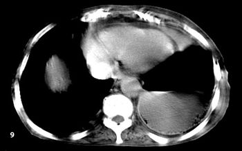
Case History: A 30-year-old female patient with history of dull pain in her left flank.

Case History: A 65-year-old patient with history of altered behavior and memory loss for 15 days

Case History: A 78-year-old patient with history of weakness on right side.




A 27-year-old pregnant patient with history of renal colic. Ultrasound showed increased echogenicity of renal pyramids. Both kidneys showed a small calculus both sides.

A 24-year-old pregnant patient presented with lower abdominal pain.