
Case History: 39-year-old male patient with h/o chronic cough and weight loss. Patient was advised CT.

Case History: 39-year-old male patient with h/o chronic cough and weight loss. Patient was advised CT.

Case History: 60-year-old patient with vomiting and abdominal pain.

Case History: 57-year-old patient on Bleomycin for lymphoma with history of breathlessness.

Case History: 45-year-old patient presented with mass in thigh for six months.

Case History: 40-year-old patient presented with history of fever and hemoptysis.

Case History: 57-year-old patient with longstanding history of swelling on left side of face and difficulty opening mouth.

Case History: 45-year-old patient with laryngeal cancer presented with history of breathlessness, hemoptysis, increased creatinine.

Case History: 55-year-old with pain and swelling in left submandibular region.

Case History: 60-year-old patient presented with complaint of bilateral lower limb swelling.

Case History: 13-year-old male with complaint of headache and hearing loss.

Case History: 49-year-old patient with large buccal mass, history of leakage through mass.

Case History: 45-year-old patient presented with history of abdominal discomfort.

Case History: 42-year-old patient presented with chest pain.

Case History: 40-year-old patient presented with history of seizures.

Case History: 32-year-old patient presented with complaint of headache, seizures, and sensory changes.

Case History: 45-year-old female presented for spine MRI.

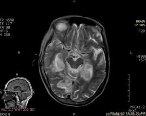
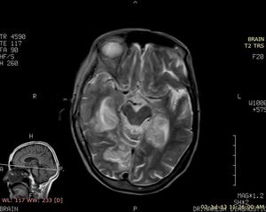
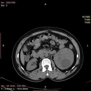
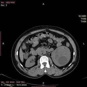
Case History: 45-year-old with history of brain tumor with complaints of abdominal pain.

Case History: Fifty-eight-year-old patient presented with history of vomiting.

Case History: 37-year-old patient presented with headache and muscle weakness in legs.

Case History: A 45-year-old patient presented with history of abdominal distension.

Case History: Four-year-old patient with complaints of altered sensorium.

Case History: Fourteen-year-old presented with complaints of seizure.

Case History:: 69-year-old patient with pain in legs and feeling of cold legs and chest pain.

Case History: 22-year-old patient presents with cough and breathlessness.

Case History: 27-year-old patient presented with history of seizures.

Case History: 23-year-old patient presents with weakness in both legs.

Case History: 57-year-old patient presented with left flank pain.

Case History: 57-year-old patient presented with complaint of numbness in arms.

Case History: 7-year-old patient with history of proptosis on the right side and temporal swelling.

Case History: 44-year-old patient presented with complaint of lump in right breast for four months.

Published: October 9th 2013 | Updated:

Published: October 14th 2013 | Updated:

Published: October 17th 2013 | Updated:

Published: October 18th 2013 | Updated:

Published: March 18th 2014 | Updated:

Published: March 20th 2014 | Updated: