
|Slideshows|October 6, 2015
Antenatal Ultrasound
Author(s)Harpreet Singh, MD
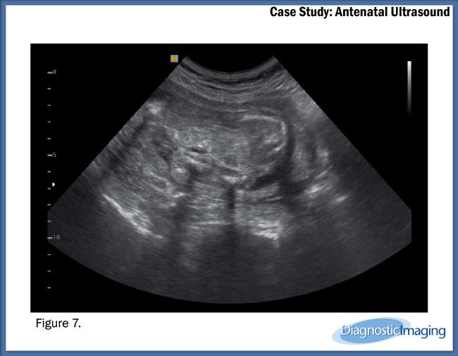
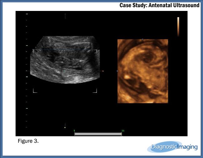
Case History: 25-year-old patient presents for antenatal ultrasound.
Advertisement
Case History: 25-year-old patient presents for antenatal ultrasound.
Newsletter
Stay at the forefront of radiology with the Diagnostic Imaging newsletter, delivering the latest news, clinical insights, and imaging advancements for today’s radiologists.
Advertisement
Latest CME
Advertisement
Advertisement
Trending on Diagnostic Imaging
1
Fujifilm Sonosite Unveils Next-Generation Point-of-Care Ultrasound Device
2
Can Contrast-Enhanced Mammography Offer a Viable Option for Pre-Op Assessment of Pathologic Nipple Involvement?
3
A Closer Look at New Guidelines for Molecular Imaging of Renal Masses: An Interview with Steven Rowe, MD, Part 1
4
FDA Grants De Novo Approval for Home Use of Prenatal Ultrasound Platform
5






























