
A 35-year-old patient with history of unilateral nasal obstruction.

A 35-year-old patient with history of unilateral nasal obstruction.

Neonate with history of lump in left anterior abdominal wall. Clinical examination showed a lump-like mass with some cutaneous pigmentation.

A 78-year-old patient presented with history of hypertension and renal failure.

A 27-year-old patient came in with history of swelling in the neck on the right side.

A 30-year-old patient came in for routine scanning for fetal well being. Prenatal scan showed a cystic mass in midline between lateral ventricles. Bilateral lateral ventricles were mildly dilated.

A 50-year-old female with a history of progressive abdominal distention and discomfort for six months.

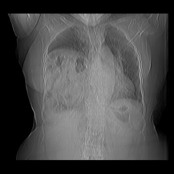
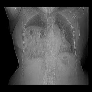
An 82-year-old female patient with a history of chest pain, right side, and dyspnea for three months.