
Radiologists who believe that Washington insiders have targeted medical imaging for financial cutbacks can find plenty of evidence to raise concerns in a recent report on Medicare costs published by the Medicare Payment Advisory Committee.

Radiologists who believe that Washington insiders have targeted medical imaging for financial cutbacks can find plenty of evidence to raise concerns in a recent report on Medicare costs published by the Medicare Payment Advisory Committee.

The chairman of the American College of Radiology Board of Chancellors issued an open letter to Barack Obama urging the White House to include medical malpractice reform as part of healthcare reform discussion.

The Canadian nuclear reactor that satisfies more than half of demand of molybdenum-99 for medical nuclear imaging services in North America will not return to service until the first quarter of 2010.

Radiologists may have to make only minor changes to their practices to adjust to the new international standards for lung cancer staging, but a lecture covering their implications was still controversial enough to send sparks flying Aug. 4 at the World Conference on Lung Cancer in San Francisco.

Interventional radiologists are coming to grips with the implications of two groundbreaking clinical trials indicating that percutaneous vertebroplasty relieves pain from osteoporotic vertebral fractures no better than a sham version of the procedure.

Multislice CT angiography can save lives by identifying occult congenital cardiac anomalies and disease that could lead to sudden cardiac death among competitive athletes.

Net-naïve and net-savvy subjects display similar brain activations patterns during reading

Rep. Edward J. Markey (D-MA), frustrated with isotope supply disruptions, has introduced bipartisan legislation that would reestablish molybdenum-99 production capabilities in the U.S. and phase out the export of highly enriched uranium for medical isotope manufacture. Markey is chair of the powerful House Energy and Commerce Subcommittee on Energy and the Environment.

A study combining the work of two commercial health insurance plans and a Medicare Advantage managed care program indicates that imaging prior authorization dramatically slows the use of high-tech imaging in the short run, but its impact decreases over time.

The nuclear reactor that serves as North America’s primary source of molybdenum-99 will not return to service before late 2009.

Experts are urging physicians to remain skeptical about controversial findings that show patients with compromised kidney function face a more than one in 10 chance of death, stroke, or myocardial infarction after experiencing contrast-induced nephropathy from coronary angiography.

Let’s face it. Our current healthcare system has dealt most of the winning cards to radiologists. Radiologists hold some of the best paying jobs in medicine. The hours are regular. The time off for continuing education and other nonclinical pursuits is generous. And the opportunity to work mainly in an outpatient setting can lower professional anxieties considerably.

Diagnostic imaging is the focus of 11 of 100 priority research projects identified in an Institute of Medicine report released Tuesday that promises to revolutionize how the clinical efficacy and cost-effectiveness of emerging medical technologies and treatment regimens are determined in the U.S.

Do you google? Relying on the Internet's most popular search engine has become second nature for frequent users.

Angry backers of CT colonography for colorectal cancer screening are regrouping after the Centers for Medicare and Medicaid Services repulsed their efforts to secure Medicare coverage for the procedure.

The mummy of the Egyptian priestess Meresamun is helping a radiologist appreciate the recent history of CT with images that are uncovering mysteries of a life that ended 2800 years ago.


Direct communications between radiologists and their congressional representatives and letter-writing campaigns have become key ingredients for medical imaging lobbying efforts directed at the White House and Capitol.

A study by the Medicare Payment Advisory Commission has confirmed what critics of in-office self-referred imaging have long claimed. Physicians who have a financial interest in medical imaging equipment are more likely to refer patients to use it, and they incur higher costs generally than physicians who do not have similar financial incentives.

The American College of Radiology has alerted members to a fax-based fraud that asks radiologists for business-related information that is then used to bill Medicare for fraudulent services.

Like it or not, the U.S. has reached a historic juncture for its healthcare system.

SNM officials have issued a call for action to address the increasingly frequent shortages of essential medical isotopes while describing the damage done since the May 14 forced shutdown of the National Research Universal reactor at Chalk River, ON, Canada.

Canadian Prime Minister Steven Harper has announced his opposition to the Canadian government’s continued long-term involvement in medical isotope production.

Plans for the 2009 SNM meeting in Toronto demonstrate the growing numbers and widening world of molecular imaging science and practice. Organizers expect nearly 4000 attendees drawn to 600 oral presentations and 1000 poster presentations covering everything from the basic chemistry of radiopharmaceutical design to growing evidence that FDG-PET/CT can indicate whether cancer therapies are working.

Two PET radiopharmaceuticals are competing to become the preferred noninvasive tools to identify the presence and extent of hypoxia.

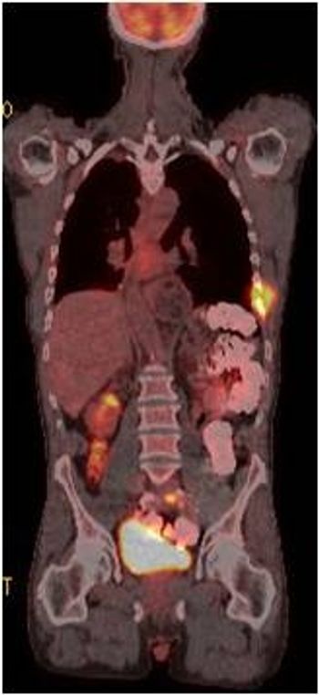
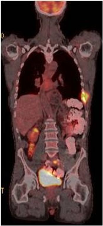
Imagine an exam that combines into a single scan the diagnostic imaging power of 10 PET studies, each measuring an essential dimension of cancer's aggressiveness, metastatic potential, and susceptibility to radio- and chemotherapy.

Despite progress on several fronts, the SNM Clinical Trials Network has received a cool response from recession-shocked pharmaceutical companies whose participation and financial support are considered crucial to the program's success.


Nuclear medicine providers can expect molybdenum-99 shortages until at least September while North America’s primary source of medical isotopes is shut down for repairs.

Two radically different opinions have emerged to describe why the Centers for Medicare and Medicaid Services decided not to extend Medicare coverage to CT colonography screening. One credits a new policy requiring efficacy data that considers the effect of proposed medical applications specifically on a Medicare population. The other cites the influence of the U.S. Preventive Services Task Force.