
The injectable authorized generic reportedly facilitates gallbladder imaging as well as X-ray imaging of the intestinal tract.
Senior Editor, Diagnostic Imaging

The injectable authorized generic reportedly facilitates gallbladder imaging as well as X-ray imaging of the intestinal tract.

The InterView Fusion and InterView XP reportedly improve image quality for single-photon emission computed tomography (SPECT) and offer imaging tools specifically geared to common nuclear medicine studies ranging from bone imaging to cardiac assessment and lung imaging.

In a study cohort of patients undergoing pre-operative workup for transcatheter aortic valve replacement (TAVR), researchers found the use of photon-counting CT for ultra-high resolution coronary CT angiography had a 96 percent sensitivity rate and an 84 percent specificity rate for the detection of coronary artery disease (CAD).

In multiple mammography datasets with the original radiologist-detected abnormality removed, deep learning detection of breast cancer had an average area under the curve (AUC) of 87 percent and an accuracy rate of 83 percent, according to research presented at the recent Society for Imaging Informatics in Medicine (SIIM) conference.

In a recent video interview from the Society for Imaging Informatics in Medicine (SIIM) conference, Ali Tejani, M.D., discussed pertinent insights on leveraging the value of adjunctive artificial intelligence (AI)-enabled triage software for computed tomography (CT) scans with radiology workflow improvements to achieve “clinically meaningful change” for patients with incidental pulmonary emboli findings.

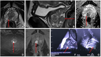
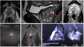
Combining multimodal imaging data and biopsy data, an artificial intelligence (AI) model provided enhanced sensitivity for defining prostate cancer tumor margins in comparison to conventional magnetic resonance imaging (MRI) assessments.

In a recent video interview, Stephen Rose, M.D., reviewed a variety of factors that can impact interpretation of breast imaging for women with breast implants and discussed recent research showing a 22 percent reduction in cancer detection rate for this population in comparison to women without breast implants.

In a new study involving over 400,000 women, researchers found that ultrasound screening was performed for 95.3 percent of women with dense breasts but only 21.7 percent of women with a first-degree family history of breast cancer.

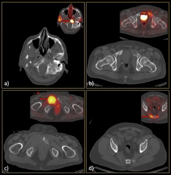
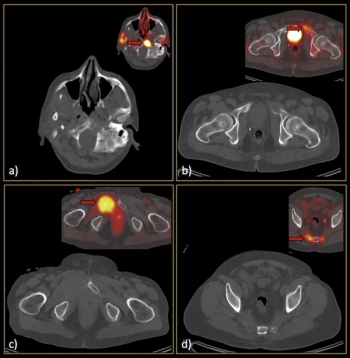
For patients initially diagnosed with non-metastatic, castration-resistant prostate cancer, pelvic lymph node involvement and five or more polymetastases detected with prostate-specific membrane antigen (PSMA)/ positron emission tomography (PET) are significantly associated with lower overall survival rates, according to recently presented research at the American Society of Clinical Oncology (ASCO) conference.

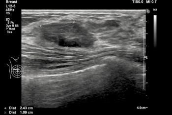
Researchers found that a deep convolutional neural network, incorporating B-mode ultrasound and shear wave elastography data, had nearly an 88 percent sensitivity rate for predicting neoadjuvant chemotherapy response in patients with breast cancer.

FIRMM-pix, a brain magnetic resonance imaging (MRI) software module recently launched at the International Society for Magnetic Resonance in Medicine (ISMRM) conference, reportedly employs visual biofeedback and gamification that coaches patients to stay still during brain MRI exams.

For the detection of obstructive coronary artery disease (CAD), stress cardiovascular magnetic resonance imaging (MRI) demonstrated a sensitivity rate of 81 percent and a specificity rate of 86 percent, according to a meta-analysis of 64 studies and data from 74,470 patients with stable chest pain.

Five artificial intelligence (AI) algorithms for mammography assessment were better at predicting breast cancer risk over five years than the Breast Cancer Surveillance Consortium (BCSC) risk model, according to new retrospective research involving over 13,000 women.

The use of contrast-enhanced computed tomography (CECT) was associated with more than double the risk of contrast-induced acute kidney injury (CI-AKI) in patients with diabetes and an estimated glomerular filtration rate (eGFR) less than 30 mL/min/1.73 m2 in comparison to the use of non-contrast CT in this population.

In order to facilitate optimal detection and assessment of liver fibrosis and steatosis, the newly launched Hepatus 6 Diagnostic Ultrasound System offers the capabilities of real-time two-dimensional ultrasound with visual transient elastography in one device.

Powered by deep learning technology, Sonic DL reportedly facilitates the acquisition of cardiac magnetic resonance imaging (MRI) scans at 12 times the speed of conventional MRI systems.

For patients with residual or recurrent grade 2 isocitrate dehydrogenase (IDH)-mutant gliomas, magnetic resonance imaging (MRI) revealed that daily dosing of vorasidenib, an inhibitor of mutant IDH1 and IDH2 enzymes, led to a median progression-free survival of 27.7 months in comparison to 11.1 months in a placebo group, according to new research presented at the 2023 American Society of Clinical Oncology (ASCO) Annual Meeting in Chicago.

The combination of Philips’ MR 7700 multi-nuclei scanner with the FDA-approved Xenoview hyperpolarized Xenon magnetic resonance imaging (MRI) contrast agent may facilitate earlier diagnosis and intervention for patients with obstructive lung diseases.

In a review of patient data from 42 countries, researchers found that standardized typical findings on computed tomography (CT) for COVID-19 had a pooled sensitivity rate of 70 percent and a pooled specificity rate of 90 percent.

The artificial intelligence (AI)-powered Ezra Flash reportedly enhances magnetic resonance imaging (MRI) and enables significant reductions in scan times and costs for full-body MRI.

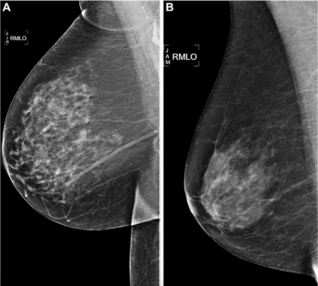
In a large retrospective study involving over 523,000 digital breast tomosynthesis (DBT) exams and over one million digital mammography (DM) exams, researchers found that DBT was associated with significantly lower recall rates but showed no advantage over DM in the diagnosis of interval or advanced breast cancer.

Precision DL, a deep learning-based software which will be available on GE HealthCare’s Omni Legend PET/CT device, reportedly increases the detectability of small, low-contrast lesions by 42 percent.

Reportedly the first FDA-approved PSMA PET agent with proprietary radiohybrid technology, POSLUMA can be utilized for positron emission tomography (PET) scans of prostate-specific membrane antigen (PSMA) positive lesions in men with prostate cancer and suspected metastasis, and those with suspected prostate cancer recurrence based on an elevated serum prostate-specific antigen (PSA) level.

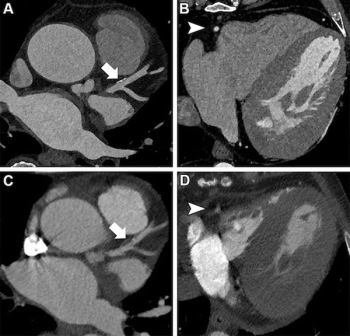
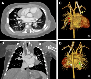
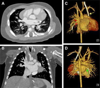
Photon-counting computed tomography (PCCT) significantly increased the signal-to-noise ratio (SNR) and the contrast-to-noise ratio (CNR) in comparison to dual-source CT (DSCT) at similar radiation dosing, according to a new study of over 100 children with suspected congenital heart defects.

In a study involving over 1,100 women diagnosed with breast cancer, researchers found that 48.7 percent of women alive or dead from other causes at a median follow-up of 11.7 years had moderately dense breasts. They also found that 46 percent of women who died from breast cancer at a median-follow-up of 5.3 years had moderately dense breasts.

Conditional use of full-body magnetic resonance imaging (MRI) is reportedly permitted for patients using any of the models for the remede® System, an implantable nerve stimulation therapy indicated for the treatment of adults with moderate to severe central sleep apnea.

In a multinational, multicenter study of over 1,000 patients with recurrent prostate cancer, researchers developed and validated a nomogram that achieved a 72 percent concordance index for the prediction of biochemical recurrence after PSMA PET-guided salvage radiotherapy.

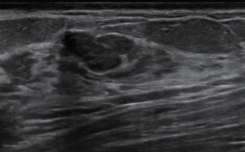
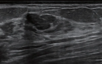
Emerging breast ultrasound research showed the use of computer-aided diagnosis (CAD), powered by deep learning, led to 24 percent and 36.9 percent improvements in accuracy and specificity, respectively, in the use of BI-RADS classifications by radiologists without breast ultrasound expertise.

Six reader studies on digital mammography revealed a pooled sensitivity rate of 80.8 percent for stand-alone artificial intelligence (AI) in comparison to 72.4 percent for radiologist assessment while seven historic cohort studies showed a 75.8 percent pooled sensitivity rate for stand-alone AI versus 72.6 percent for radiologist interpretation of digital mammography.

In what may be the first comparative study of the polygenic risk score and the computed tomography (CT)-derived coronary artery calcium (CAC) score for assessing coronary heart disease (CHD) risk, researchers found that the CAC score was associated with significant improvements in assessing and stratifying risk for the development of CHD in middle-aged to older adults.