
CHICAGO-Advice given at RSNA 2015 on preparing radiologists for the new field of radiology.

CHICAGO-Advice given at RSNA 2015 on preparing radiologists for the new field of radiology.

CHICAGO-Experts at RSNA 2015 debate the pros and cons of low-dose CT lung cancer screening.

CHICAGO-Problems to anticipate and strategies to help with radiology practice quality improvement, presented at RSNA 2015.

Thoughts on Big Iron, managed fleets, and technology partnerships from RSNA 2015.

CHICAGO-Tips for radiology practices on identifying security threats in imaging equipment, as discussed at RSNA 2015.

CHICAGO-Guidance from experts at RSNA 2015 on maximizing the radiology residency experience.

CHICAGO-Experts advised at RSNA 2015 how service excellence can be achieved in radiology.

CHICAGO-Experts advise at RSNA 2015 what radiologists need to know about informed consent.

CHICAGO-How radiologists should navigate the job or fellowship interview process.

CHICAGO-Weighing the pros and cons of meaningful use in radiology.

CHICAGO-Challenging breast density as a strong risk factor for cancer.

CHICAGO-Leveraging RSNA and social media can make great things happen in radiology.

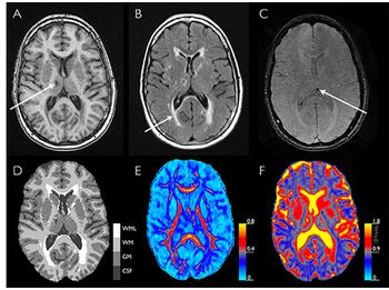
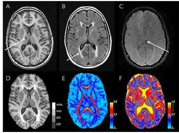
CHICAGO-MRI suggests that subclinical cardiac dysfunction could be indicative of early brain disease.

CHICAGO-How to design a successful radiology practice.

CHICAGO-Radiography images can be improved with gaming technology that recognizes issues that affect image quality.

CHICAGO-Be optimistic about radiology’s future.

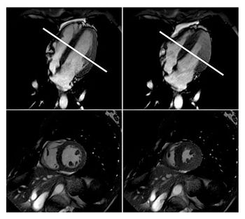
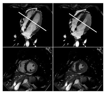
CHICAGO-MRI shows significant changes to the heart of elite free divers.

CHICAGO-Radiology has an important role to play in the new model of patient care.

CHICAGO-Ultrasound discovers whether knuckle cracking is a bubble popping or a bubble being created in the joint.

CHICAGO-Advice for radiologists on communicating effectively with patients.

CHICAGO-The effect of expanded Medicaid to allow screening access on rates of breast cancer screening.

CHICAGO-MRI shows that the knee and ankle cartilage of long-distance runners can regenerate.

CHICAGO-Experts at RSNA 2015 look to data to improve care.

CHICAGO-Test your skills and compete with your peers in our daily MRI cases from RSNA!

CHICAGO-MRI allows physicians to monitor the protective effect of weight loss on knee cartilage.

CHICAGO-MRI shows abnormal cerebral blood flow even if concussed athletes clinically ready to return to sport.

CHICAGO-RedRick Technologies will display at RSNA 2015 its collection of ergonomic furniture for small workstations.

CHICAGO-Konica Minolta will display at RSNA 2015 its new Aero DR LT.

CHICAGO-MedCurrent will feature at RSNA 2015 updates to its clinical decision support system.

CHICAGO-Nuance will feature at RSNA 2015 updates to its quality guidance, introduce its lung cancer screening registry and multimedia reporting.