
CHICAGO - Here’s why achieving meaningful use of electronic health records worked for some hospital departments, but not for others.

CHICAGO - Here’s why achieving meaningful use of electronic health records worked for some hospital departments, but not for others.

CHICAGO - Cloud-based imaging sharing and storage can save money on IT, but radiology groups have to make sure their infrastructure will support it.

CHIGACO - Researchers continue to study the role of dense breast tissue. Knowing the risk factors, how to monitor it, and what to recommend as a next step is crucial.

CHICAGO - Former Secretary of State Condoleezza Rice discusses how maximizing human creativity and talents can keep countries at the head of the global pack.

CHICAGO - The healthcare landscape is constantly changing, and radiologists should anticipate and promote change with an eye toward organizational culture.

CHICAGO - The American Board of Radiology has made major changes to the core exam and maintenance of certification. Here’s what you need to know.

CHICAGO - Screening mammograms done every year have a higher chance of detecting breast cancer before it spreads to the lymph nodes than do less frequent exams.

CHICAGO - Keeping your patients, colleagues, and yourself safe in the radiology workplace means taking steps to improve communication, avoid injury, and manage potential risks.

CHICAGO - From determining the platform and device to adding apps, there are quite a few considerations when going mobile.

CHICAGO - Patients expect to be able to interact with their doctors online, so radiologists should understand and embrace the power of social media.

CHICAGO - A root cause analysis can help prevent future mistakes, and isn’t just a way to place blame on clinicians. Here’s what radiologists need to know.



CHICAGO - Retirement can present challenges to the aging radiologist, but hobbies, personal connections, and planning can help.

CHICAGO - More breast cancer detection, fewer false positives with digital tomosynthesis.

CHICAGO - Coronary CT angiography reveals similarities between coronary disease and cardiovascular risk among both men and women.



CHICAGO - Roughly 18 months after joining the Dose Index Registry, Emory HealthCare identifies significant progress in controlling dose.

CHICAGO - Establishing early breast density through full-digital mammography may predict breast cancer among younger women.

CHICAGO - Radiologists should be sincere and authentic in delivering news of mistake to patients and families. Here’s what to consider after a medical error.

CHICAGO - Making low-cost changes in lighting and adding a sound-masking system can improve radiologists’ performance and health.



CHICAGO - Structured reporting systems offer standardized ways to compile information from studies, but some worry they sanitize reporting too much.

CHICAGO - Diffuse tensor imaging may help clinicians differentiate between mild traumatic brain injuries and post-traumatic stress disorder.

CHICAGO - Magnetic field correlation, a newer type of MRI, can detect low levels of iron in the brains of children and adolescents with ADHD who are ADHD medication-naive.

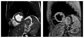
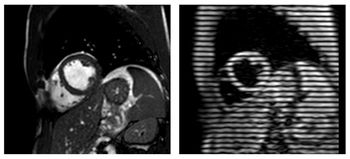
CHICAGO - Magnetic resonance images can detect significant strain on the heart following consumption of energy drinks high in caffeine and taurine.

