
Magnetic resonance imaging may be a promising way to detect lower levels of iron in the brain, helping determine which children have ADHD.

Magnetic resonance imaging may be a promising way to detect lower levels of iron in the brain, helping determine which children have ADHD.

Magnetic resonance imaging detects lower connectivity in the basal ganglia network among patients with early Parkinson’s disease.

The FDA has given Bayer’s Gadavist approval for use with MRI of the breast to evaluate malignant breast disease.

74-year-old presents with palpable lump in left breast, status post left lumpectomy for infiltrating ductal carcinoma with sequential radiation 16 years ago.

Imaging shows signs of brain abnormalities among babies born between 32 and 37 weeks’ gestation.

Preoperative MRI in early breast cancer can reduce reexcision rates and, therefore, minimize patient anxiety.

Emergency department radiology services frequently are uncompensated among both uninsured and insured patients.

Preoperative imaging of patients with esophageal cancer by PET and MRI may provide higher accuracy in nodal staging.

Diffusion-weighted imaging helps physicians assess myeloma treatment effectiveness.

With patient satisfaction an increasing concern, radiology vendors and facilities are focused on improving the imaging experience.

The MedMuseum, devoted to the history of medical technology, held its grand opening today in Erlangen, Germany.

Ultrasound remains most sensitive imaging modality when diagnosing placenta accreta.

Women treated with chest radiation as children have an increased risk for developing breast cancer later in life, a study says.

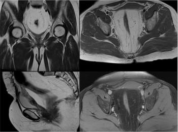
45-year-old woman with nonspecific pelvic pain and fullness, after MRI underwent cystoscopy and biopsy which revealed proliferative cystitis.

Functional MRI has detected alteration in the areas of the brain that correlate with executive functioning,in boys with ADHD.

Images from 3T MRI help detect signs of Parkinson’s disease, inexpensively, and with no danger of radiation exposure.

GE Healthcare’s Vizamyl, for PET imaging of the brain to estimate beta amyloid neuritic plaque density in cognitively impaired adults, introduced in 7 markets.

25-year-old man presents with progressive lower extremity weakness.

18F-FDG PET more accurate than fMRI and may help physicians better determine the long-term recovery of patients with unresponsive wakefulness syndrome.

Diffusor tensor imaging (DTI) identifies regional white matter damage in the brains of people who sustained mild brain injuries.

3-D MRI provides a lower error margin and allows radiologists to provide faster treatment advice.

Diffusion-tensor MRI and tractography may offer radiologists a noninvasive option for diagnosing esophageal carcinoma.

Women who have previously undergone breast conserving therapy may find a supplemental screening option in MR imaging.

Breast emergencies are uncommon but require quick identification and management when patients present with complaints, such as mastitis and breast abscesses.

The use of PET imaging in non-small cell lung cancer patients reduced the number of unnecessary surgeries by 50 percent.