
Washington University’s Mallinckrodt Institute of Radiology is imaging cervical cancer patients with hybrid PET/MR. Here’s what they’ve learned about this new modality.

Washington University’s Mallinckrodt Institute of Radiology is imaging cervical cancer patients with hybrid PET/MR. Here’s what they’ve learned about this new modality.

Use of functional MRI scans to detect leukoaraiosis benefits patients undergoing brain mapping for surgery or other treatments.

Last fall, the FDA examined MRI safety concerns and ways to reduce injuries. But the industry hasn’t received national guidance on accomplishing this goal.

Physicians can rely on iPads to provide MR images that are on par with DICOM calibrated secondary-class monitors, researchers say.

Sodium MRI may help physicians monitor the level of total sodium concentration levels in the brain, which increase dramatically in the advanced stages of MS.

Monitoring blood oxygen saturation in the MRI suite can challenge patient care and work flow. Here’s Memorial Hermann Southeast Hospital’s solution.

MR images show significant differences in the early brain development of high-risk infants who go on to develop autism.

Acquiring refurbished imaging machines is a growing trend as practices grapple with decreasing reimbursement or consider the possibility of future consolidations.

Accuracy in evaluating MRIs for acute appendicitis improves after training from more experienced radiologists, and the addition of diffuse weight images also improves reader sensitivity and decreases the amount of time needed to read each image.

In a recent study, fMRI showed that a lack of sleep can lead to a stronger desire to eat junk food. Do you crave unhealthy food when you're sleep-deprived?

Functional MRI scans show sleep-deprived people have a stronger desire for junk food, researchers found.

Using fMRI, researchers have found a strong association between post-stroke depression and functional brain impairment.

MRIs are superior to clinical examination in indicating breast tumor response to pre-surgical chemotherapy.

Breast Imaging and Reporting Data Systems terminology is useful in predicting malignancy in breast lesions that are detected by MRI.

Scientists at the Children’s National Medical Center in Washington, D.C., say they have discovered a protocol that could lead to a hundred-fold increase in MRI speed.

The Echelon Oval has a patient-shaped design, resulting in a 74-cm oval bore - the widest in the industry, the company said.

If a patients shows strong response to images of food (or sex) in an fMRI, they are more likely to gain weight (or have more sex) in coming months, say researchers.

Technique based on whole-brain tractography may predict progress of certain dementias, such as Alzheimer’s disease and frontotemporal dementia.

Imaging reveals grid-like pattern in fiber architecture of the brain - "an important, fundamental discovery." Mapping brain pathways opens doors to better studying brain dynamics and mental health issues.

Adding MRI to breast cancer screening is expensive but may be cost effective for women with a family history of breast cancer - even if they don’t have the BRCA1/2 gene mutation, researchers found.

The addition of two MRI sequences to a common MR angiography technique significantly improves detection of pulmonary embolism and only takes 15 minutes to set up and perform.

MRI is effective in measuring abnormal femoral antetorsion, or in-toeing, and the images can then be used in treatment planning for patients with femoroacetabular impingement.

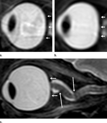
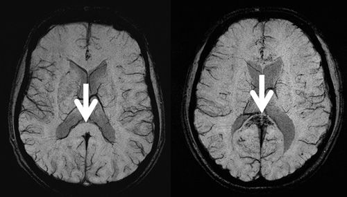
MRI findings show that astronauts exposed to zero gravity for prolonged periods can develop brain and eye abnormalities.

Radiology and imaging specialists Mukesh Harisinghani, MD, Frank Miller, MD, and David Casalino, MD, discuss an advanced image analysis technology, and the role of prostate MRI in cancer detection, localization, staging, treatment planning and serial monitoring.

Osman Ratib, MD, PhD, FAHA, professor and chief of nuclear medicine in the Department of Radiology at the University Hospital of Geneva, discusses the advantages and future of the hybrid PET/MR modality.