
MRI and arthroscopy can help surgeons screen for unstable labral tears.

MRI and arthroscopy can help surgeons screen for unstable labral tears.

Thoughts on Big Iron, managed fleets, and technology partnerships from RSNA 2015.

MRI plus clinical criteria helps physicians determine which stroke patients would benefit from thrombectomy.

Case History: 55-year-old female with pain in cervical region radiating to bilateral upper limbs.

CHICAGO-MRI suggests that subclinical cardiac dysfunction could be indicative of early brain disease.

CHICAGO-MRI shows significant changes to the heart of elite free divers.

CHICAGO-MRI shows that the knee and ankle cartilage of long-distance runners can regenerate.

CHICAGO-MRI allows physicians to monitor the protective effect of weight loss on knee cartilage.

CHICAGO-MRI shows abnormal cerebral blood flow even if concussed athletes clinically ready to return to sport.

MRI finds possible marker for cardiovascular disease among asymptomatic diabetics.

Case History: 65-year-old male with swelling of left inguinal region for two months.

Radiologists can learn about their patients’ experiences through their Tweets.

More screens mean more distractions for radiologists.

28-year-old male presented with sensorineural hearing loss for two months.

LiverMultiScan, a device that can detect early liver disease using MRI, received FDA approval.

Using MRI to image the left ventricle shows more precise measurements of the heart.

Using MRI to assess hippocampal grading, physicians may be able to predict Alzheimer’s disease up to seven years before dementia.

Case History: 30-year-old female, increased wrist swelling since birth.

Brain imaging with fMRI shows older patients may experience more difficulties.

Unenhanced diagnostic MR imaging–DWIBS mammography may detect false-positive X-ray screening mammograms.

Barco’s Coronis Uniti display system received expanded clearance for multi-modality viewing.

Case History: Pediatric patient presented with mild swelling of right lower leg.

An earlier scan of a patient’s brain with traumatic brain injury is better for greater detection of microhemorrhages.

Structured MRI reports improve staging for rectal cancer.

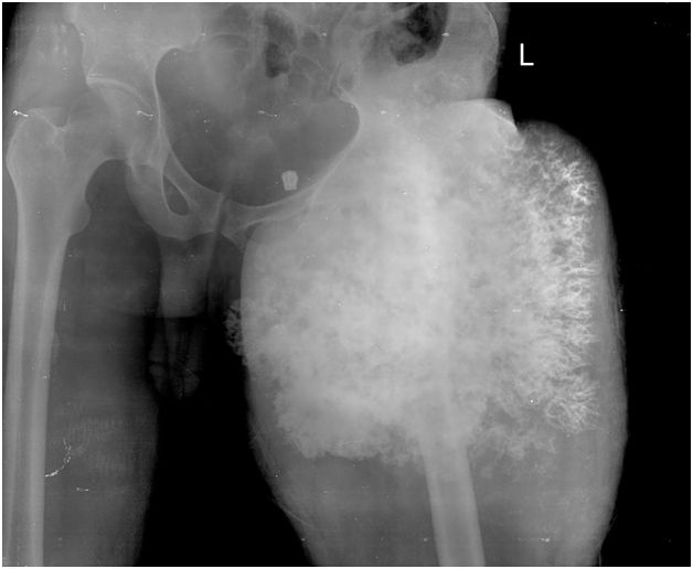
55-year-old male with swelling in left leg for four months.