
Providing 25 features to facilitate optimal workflow and user effectiveness, the portable Acuson Maple ultrasound can reportedly be utilized in a variety of clinical settings.

In a study examining the potential of the large language models ChatGPT-4 and Bard to follow ACR Appropriateness Criteria for breast cancer, lung cancer, ovarian cancer and colorectal cancer screening, researchers noted “impressive accuracy in making radiologic clinical decisions.”

Providing 25 features to facilitate optimal workflow and user effectiveness, the portable Acuson Maple ultrasound can reportedly be utilized in a variety of clinical settings.

Offering a variety of integrated visualization tools, the SiteRite 9 Ultrasound System reportedly enables the insertion of vascular access devices regardless of user experience level.

Dr. Kottler sat down with Diagnostic Imaging at RSNA 2023 to discuss AI imaging milestones and the potential impact of AI on workflows in radiology.

Combining enhanced imaging capabilities, workflow efficiencies and artificial intelligence (AI)-enabled technology to improve the diagnosis and management of health conditions in women, Samsung has launched the V6 ultrasound system.

Catch up on the top radiology content of the past week.

Reimbursement for use of the artificial intelligence (AI)-powered EchoGo Heart Failure platform in hospital outpatient settings for Medicare and Medicaid patients is expected to increase from $99.81 to $284.88 in 2024.

Ultrasound and MRI findings from a new study suggest that greater carotid atherosclerosis and elevated white matter hyperintensities among women with the APOEe4 genotype, a strong risk factor for Alzheimer’s disease, are associated with increased PTSD symptoms in midlife women.

New research shows that pelvic MRI offers equivalent sensitivity but nearly 20 percent greater specificity than transvaginal ultrasound for the classification of adnexal lesions.

A 49-study meta-analysis revealed that MRI-based and CT-based radiomics models outperformed clinical models for predicting recurrence of hepatocellular carcinoma.

Combining phased and linear arrays on a single head, the Clarius PAL HD3 ultrasound device was unveiled at the recent American College of Emergency Physicians (ACEP) Scientific Assembly conference.

Geared to clinicians who may lack ultrasound expertise, the artificial intelligence (AI)-powered Caption Guidance technology reportedly provides stepwise instruction for acquiring optimal cardiac ultrasound images.

In a study of over 500 people with carpal tunnel syndrome, researchers found that 57 percent returned to work three days after being treated with UltraGuideCTR, a modality which enables real-time ultrasound guidance for carpal tunnel release.

The Exo Iris reportedly combines advanced silicon technology with imaging, workflow software and artificial intelligence (AI) to facilitate multidisciplinary use of point-of-care ultrasound.

Catch up on the top AI-related news and research in radiology over the past month.

The Precision GI™ Endoscopic Ultrasound Biopsy Device reportedly provides a more efficient and less traumatic method of obtaining biopsy tissue for suspected gastrointestinal cancers.

Catch up on the top radiology content of the past week.

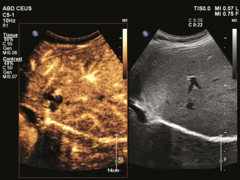
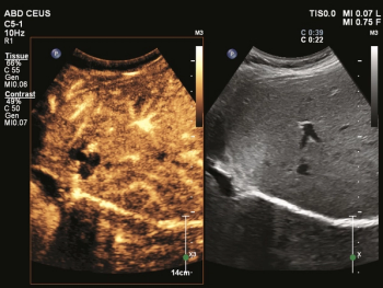
The Microvascular Imaging Super Resolution Contrast-Enhanced Ultrasound application reportedly leverages micro-bubble contrast media to provide enhanced spatial resolution for imaging of malignant lesions.

The TE Air is reportedly the first handheld ultrasound device to offer dual connectivity to mobile devices or touch-based ultrasound systems.

Through the use of artificial intelligence (AI) and imaging modalities such as ultrasound, CT, and MRI, the newly FDA-cleared VisAble.IO software reportedly enhances planning and real-time assessment for liver tumor ablation procedures.

How strong is your own quality assurance (QA) barometer for interpreting CT, MRI, and ultrasound images?

Catch up on the top radiology content of the past week.

Catch up on the top five most viewed content at Diagnostic Imaging in August 2023.

Offering a variety of enhanced features for image optimization and improved workflow efficiencies, the Sierra NMUS1 device reportedly includes the first software specifically designed for neuromuscular ultrasound applications.

Catch up on the top AI-related news and research from the past month.

Featuring sector and linear arrays, the FDA-cleared Vscan Air SL ultrasound device reportedly enables cardiac and vascular assessments at the point of care.