
Ultrasound
Latest News

Adjunctive AI offered greater than seven percent increases in sensitivity, specificity, and accuracy for ultrasound detection of ovarian cancer in comparison to unassisted clinicians who lacked ultrasound expertise, according to findings from new international multicenter research.
Latest Videos
CME Content
More News

Catch up on the most well-read mammography articles from 2024.

Do we get mired in the rut of generational grumbling, or do we reframe resentments into perspective of what we have overcome?

Catch up on the top AI-related news and research in radiology over the past month.

Catch up on the top radiology content of the past week.

In a recent interview, Richard Duszak, MD, discussed new study findings that showed over nine percent annual increases in ultrasound, CT and MRI interpretation by office-based non-physician practitioners (NPPs) between 2013 and 2022.

The AI-enabled EchoGo® Amyloidosis software for echocardiography has reportedly demonstrated an 84.5 percent sensitivity rate for diagnosing cardiac amyloidosis in heart failure patients 65 years of age and older.

Agreement on follow-up imaging was 41 percent more likely with recommendations by thoracic radiologists and 36 percent less likely on recommendations for follow-up nuclear imaging, according to new research.

Reportedly developed on over 90,000 ultrasound exams, the BrightHeart AI software identifies suspicious findings suggestive of congenital heart defects through AI-powered evaluation of fetal heart morphology.

Emerging research demonstrated that the Stone Clear device, which facilitates post-lithotripsy clearance of kidney stone fragments, led to a 70 percent lower risk of relapse in comparison to observation in a control group.

Catch up on the top radiology content of the past week.

In a recent interview, Stamatia Destounis, M.D., discussed the impact of national breast density notification for mammography reports and key considerations with staffing and ongoing education for patients, staff and referring providers on the merits of supplemental breast imaging.

Catch up on the most-well viewed radiology content in October 2024.

Catch up on the top radiology content of the past week.

The Sonire Therapeutics ultrasound system is currently being studied for the treatment of patients with unresectable pancreatic cancer refractory or intolerant to first-line chemotherapy.

The new ultrasound platform reportedly offers a combination of enhanced imaging and AI-enabled tools to facilitate improved workflow efficiency.

Catch up on the top radiology content of the past week.

In a multicenter study of over 370 women who had surgery for ovarian cystic lesions without acute symptoms, researchers found that 42 percent of the resected lesions were deemed to have an O-RADS ultrasound risk score of 2, which has less than a one percent chance of malignancy.
With the capability of identifying possible cases of aortic value stenosis (AVS) from existing electrocardiograms (ECGs), the AI-powered screening software from AccurKardia may facilitate earlier diagnosis of AVS, which is fatally missed in 50 percent of patient who have this condition.

Catch up on the most-well viewed radiology content in September 2024.

Intestinal ultrasound demonstrated an 88.2 percent agreement with computed tomography enterography in characterizing creeping fat in patients with Crohn’s disease, according to new research.

The Piur tUS Infinity system reportedly reduces operator dependency with ultrasound through upgrading of two-dimensional ultrasound devices and access to 3D multiplanar image reconstructions of thyroid conditions.

Providing automated TI-RADS classifications and worksheets, the new AI-enabled software may facilitate improved efficiency with thyroid ultrasound exams.

Catch up on the top radiology content of the past week.

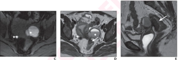
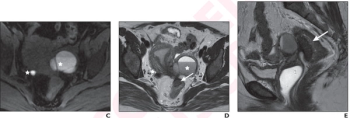
MRI or Ultrasound for Evaluating Pelvic Endometriosis?: Seven Takeaways from a New Literature Review
While noting the strength of MRI for complete staging of disease and ultrasound’s ability to provide local disease characterization, the authors of a new literature review suggest the two modalities offer comparable results for diagnosing pelvic endometriosis.

Developed with breast ultrasound data from nearly 1,200 women, a model with mixed radiomic and autoencoder features had a 90 percent AUC for diagnosing breast cancer, according to new research.






































