
|Slideshows|August 29, 2017
Postmenopausal Bleeding, Pelvic Pain
Author(s)Doaa Ibrahim Hasan, MD
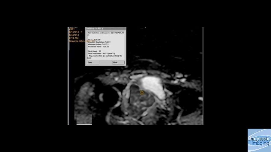
Case History: 60-year-old female presented with postmenopausal bleeding and pelvic pain.
Advertisement
Case History: 60-year-old female presented with postmenopausal bleeding and pelvic pain.
Newsletter
Stay at the forefront of radiology with the Diagnostic Imaging newsletter, delivering the latest news, clinical insights, and imaging advancements for today’s radiologists.
Advertisement
Latest CME
Advertisement
Advertisement
Trending on Diagnostic Imaging
1
Prospective Study Shows Capability of CXR AI to Detect Early-Stage Lung Cancer in Young Patients and Never Smokers
2
Study Shows Merits of CT Vascular Sign for Differentiating Solid Pulmonary Nodules
3
Diagnostic Imaging's Weekly Scan: November 2 — November 8
4






























