
AI Coverage
Latest News

Feb 09, 2026 | News
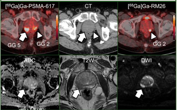
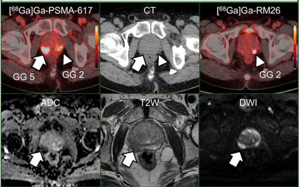
Comparative Study Shows Merits of PSMA PET/CT for Local Staging of Intermediate and High-Risk PCa

Diagnostic Imaging's Weekly Scan: February 1 — February 7
Feb 07, 2026

Radiology Roundup of New FDA Clearances — February 1 — February 7
Feb 07, 2026

FDA Clears AI-Powered Triage Platform for Digital Breast Tomosynthesis
Feb 06, 2026

Is AI Better Than Neuroradiologists at Evaluating Aneurysm Growth on CTA and MRA Scans?
Feb 06, 2026

Advertisement
Shorts

0:47
Defining the Problem to Be Solved Before Hunting for AI Software Solutions
4 days ago
by
Kernesha Weatherly, DHA

0:43
The Potential of Multisystem Screening with CT-Based AI
5 days ago
by
David Yankelevitz, MD

0:52
Where Things Stand with the Find It Early Act
6 days ago
by
Amy Patel, MD

0:59
Why Supplemental Imaging Use is 'Quite Low' for Women with Dense Breasts
10 days ago
by
Manisha Bahl, MD

0:34
Why LLMs Are a 'Natural Fit' for Automated CT Protocoling
13 days ago
by
Rajesh Bhayana, MD

0:44
Keys to Retaining Third-Year Residents in Interventional Radiology
14 days ago
by
Mina S. Makary, MD

0:33
Can AI Plaque Quantification with CCTA Facilitate Personalized Medicine?
18 days ago
by
Ron Blankstein, MD

0:38
Can PSMA PET/MRI Have an Impact in Detecting HCC?
19 days ago
by
Onofrio Catalano, MD, PhD

0:39
PET Imaging Agent Offers 'Extraordinary Uptake' in Detecting ccRCC
20 days ago
by
Michael Hofman, MBBS, FRACP

0:56
What is the Role of an APP in Radiology?
22 days ago
by
Chris Davis, DMSc, PA-C, RT

























