
RSNA



RSNA 2013’s theme is the Power of Partnership. We asked several radiology luminaries what that meant to them. Here’s what they said.











Interventional radiology and radiation oncology should merge again, with the development of a new certification: image-targeted oncology.

CHICAGO - If your radiology practice doesn’t have conflict of interest policies in place, you’re not alone. Here’s why it’s important and what to do.

CHICAGO - From dose-reduction and workflow solutions to MR and mammo innovations, the RSNA 2012 exhibit floor was buzzing with new products. Here’s a sampling.

CHICAGO - Referring physicians share their list of dos and don’ts for their colleagues in radiology.

CHICAGO - Point-of-care ultrasound has become ubiquitous in medicine, but radiologists still have a critical role in the modality with ultrasound’s training and promotion.

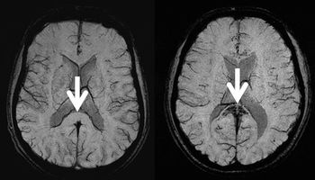
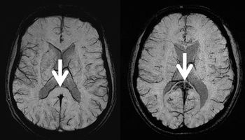
CHICAGO - High-altitude cerebral edema, the end stage of severe acute mountain sickness - once thought to be reversible - causes microbleeding on the brain.

Increased use of MRI to evaluate newly diagnosed breast cancers has not resulted in an increase in contralateral prophylactic mastectomy.

CHICAGO - Many patients are confused about what radiologists do, but they want to know their image reader. It’s time to up the education and interaction.

CHICAGO - The rise of the health care consumer may frighten you, but here’s how to compete and thrive in an era of the highly engaged patient.

CHICAGO - One nurse who’s worked with breast cancer patients for 15 years tells radiologists how they can be more patient-centered.

CHICAGO - Richard Gunderman, MD, urges radiologists to see beyond the superficial scans and tell the stories behind the images.

CHICAGO - Shifting radiology’s emphasis on optimizing the patient experience is difficult, but the right thing to do. Here’s your five-step roadmap.

CHICAGO - Radiology practice marketing can be tricky. Here are 10 scenarios outlining some dos and don’ts for attracting patients and referrers.

CHICAGO - USPSTF’s mammography screening guidelines to a decline in screening and may lead to a significant number of missed cancers, researchers found.

CHICAGO - Changing your PACS vendor isn’t a decision to make lightly and it can be a tough switch. Here’s what you need to know for a smooth transition.

CHICAGO - Many patients and providers overestimate CT radiation exposure, so radiologists need to better communicate CT’s benefits.

CHICAGO - Radiation received by other organs during a mammogram is very low and does not present an increased cancer risk, researchers found.
