
CT
Latest News
Latest Videos

Podcasts
CME Content
More News

A deep learning AI platform, which incorporated radiomic features including CT attenuation metrics, demonstrated a 93.6 percent AUC for detecting invasive adenocarcinoma on chest CT.

In a study involving over 500 patients, researchers noted that the CT-based AI software led to a 24 percent increase of evaluations for aortic abdominal aneurysms within six months of detection.

The AI-powered Bunkerhill MAC software reportedly facilitates chest CT detection and quantification of mitral annular calcification, which has been linked to higher cardiovascular risk and related mortality.

Based on survey findings and subsequent voting from radiologists at nine facilities, the Society of Abdominal Radiology has issued new consensus recommendations on the use of adult abdominal photon-counting CT.

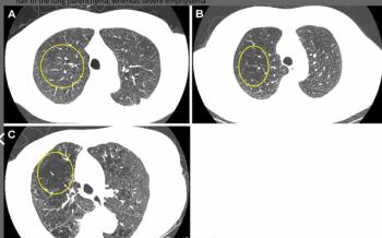
Researchers found comparable 10-year overall survival rates for people who had computed tomography (CT) surveillance (94.7 percent) and those who had surgery for ground-glass nodules (97.6 percent), according to a new prospective study involving over 680 participants.

The Planmed XFI full-body weightbearing cone-beam CT scanner reportedly enables upright and supine patient positioning.

Providing adjunctive AI detection for multiple conditions on CT through a single workflow, the multi-triage platform would be available through Aidoc’s aiOS platform.

While pooled data from 38 studies showed markedly higher sensitivity rates for the use of adjunctive AI for ischemic stroke detection on non-contrast CT exams, researchers noted a high degree of bias and lack of external validation in many of the studies.

Catch up on the most-well viewed radiology content in September 2025.

New research suggests the combination of multiparametric dual-energy CT and deep learning image reconstruction for liver metastases detection enables a 45 percent reduction in radiation dosing.

Facilitating increased efficiency in radiation therapy planning, the new Rembra RT and Areta RT computed tomography platforms reportedly offer 4D CT capabilities and image reconstruction speeds up to 106 images per second.

The updated Heartflow Plaque Analysis software reportedly offers enhanced 3D visualization of plaque type, volume and distribution based on coronary computed tomography angiography (CCTA) imaging.

PSMA PET offered 18 percent higher accuracy for detecting biochemical recurrence of PCa in contrast to mpMRI, according to findings from a 67-study meta-analysis.

For children who had a head CT scan, there was a 35 percent increased relative risk of developing hematologic cancer, according to a new study examining data from over 3.7 million children with a mean follow-up period of 10.1 years.

Catch up on the top radiology content of the past week.

Researchers also found that low-dose chest CT detection of emphysema was associated with a 29 percent higher risk of all-cause mortality up to 25 years later, according to a study involving over 9,000 individuals with a history of smoking.

For myocardial extracellular volume quantification, single-phase and dual-phase photon-counting CT provided over 20 percent higher correlation with cardiac MRI in contrast to dual-phase energy-integrating detector CT, according to new research findings.

Offering the capability to convert a non-contrast chest CT into quantitative ventilation perfusion mapping, use of the CT:VQ software allows for additional Category III CPT reimbursement beyond the chest CT.

In a long-term follow-up analysis of the ELCAP CAC score for predicting cardiovascular mortality, over 30 percent of current or former smokers with high ELCAP CAC scoring on low-dose CT suffered cardiovascular disease death within a 25-year period.

The Revolution Vibe computed tomography system reportedly facilitates quality low-dose imaging for cardiac exams in patients with arrhythmias, heavily calcified coronaries and stents.

Catch up on the most-well viewed radiology content in August 2025.

Catch up on the most-well viewed prostate imaging content in August 2025.

Catch up on the top AI-related news and research in radiology over the past month.

Catch up on the top radiology content of the past week.

Use of the AI-powered Salix Coronary Plaque module, which offers detection of high-risk plaque within 10 minutes based off of CCTA scans, will reportedly qualify for $950 in Category 1 CPT reimbursement in 2026.












































