
Radiology, where the majority of cases are image and technology based, is ready-made for a significant social media presence.

Radiology, where the majority of cases are image and technology based, is ready-made for a significant social media presence.


Screening mammography based on cancer risk alone may miss many cancers.

Lawrence Muroff, MD, doesn’t want radiologists to worry about fake partnerships.

Radiologists will catch on.

Saying what you mean in radiology.

Radiologists have mixed feelings about AI.

Tips for millennial radiologists and the people who work with them.

Watch out for biases in radiology.

Technology is changing how patients consume radiology results.

Tips on deciding if consolidating is right for your radiology practice.

Radiology's AI players.

Image quality and report turnaround time aren’t the only indicators of a successful radiology group.

Experts at RSNA 2017 encourage price transparency and structured radiology reports.

Recent FDA review process of inconclusive clinical studies creates a potentially unhealthy decision-making environment for patients needing gadolinium-enhanced MRIs.

CT combined with 3D printing accurately reproduced damaged parts of the middle ear.

There is a lot left to learn about deep learning.

Advanced technology, more confusion.

Radiologists in the emergency department can help advocate for patients with opioid-use disorders.

Start seeing your radiology patients as consumers.

Radiologists can use their IT expertise to help ACOs succeed.

Imaging with gadolinium does not put patients at risk for adverse neurologic outcomes later in life.

Radiologists need to capitalize on technology.

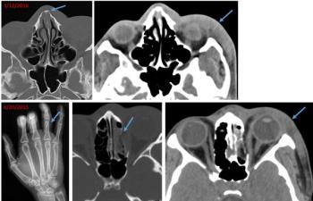
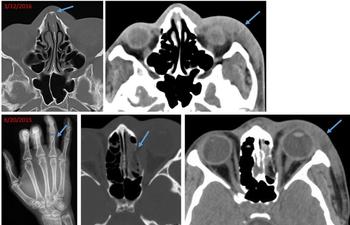
Images that show specific types of injuries and old injuries could help radiologists identify victims of domestic and sexual abuse.

Experts at RSNA 2017 discuss how federal agencies are working to accelerate AI in practice.

Tips for radiology practices on compensating for a loss from MIPS.

A new app about MR safety has some surprising benefits for efficiency.

A new app about MR safety has some surprising benefits for efficiency.

Why the fourth quarter might be the best time to finance imaging equipment.