
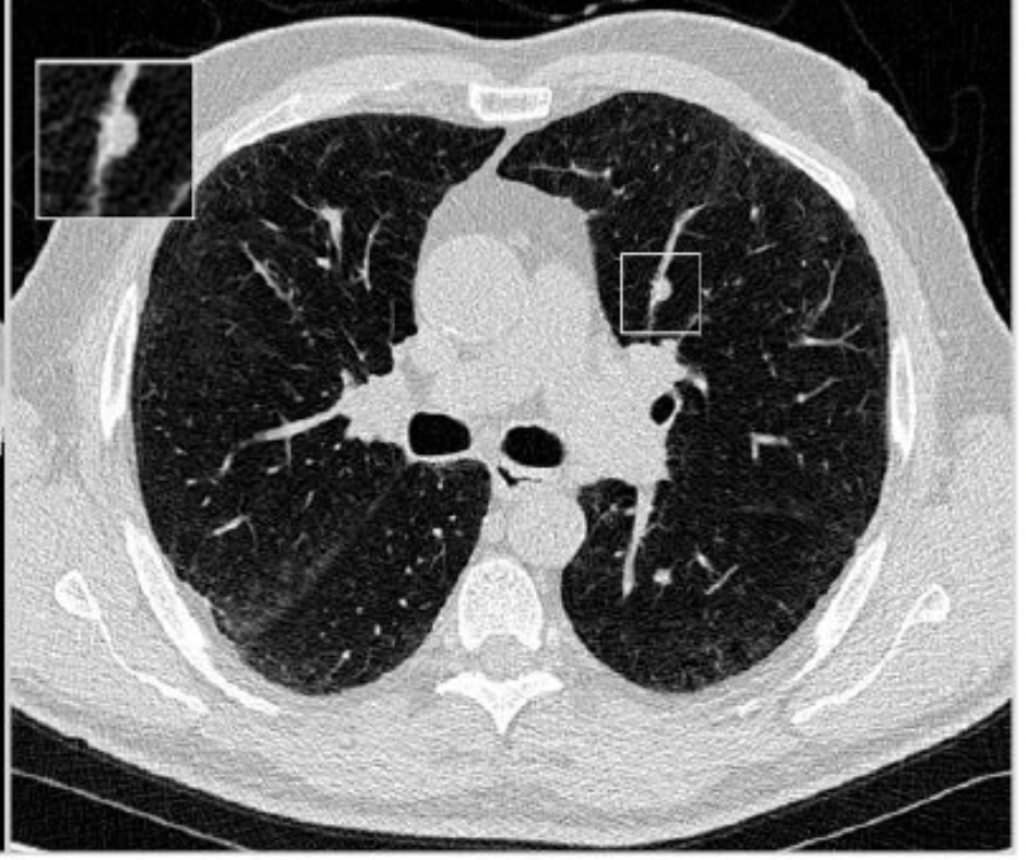
Modifications to pack-year history and smoking quit duration thresholds beyond those recommended in the 2021 United States Preventative Services Task Force (USPSTF) criteria for low-dose computed tomography lung cancer screening may more than double the number of increased lung cancer cases physicians would see with application of the 2021 USPSTF screening criteria.















































