
Review top radiology content from the week.

Lung opacities/consolidation and cervical/axillary adenopathy are reportedly common findings in emergency room imaging of patients suspected of having complications related to COVID-19 vaccines, according to new research presented at the American Roentgen Ray Society (ARRS) conference.

Review top radiology content from the week.

What is your diagnosis?

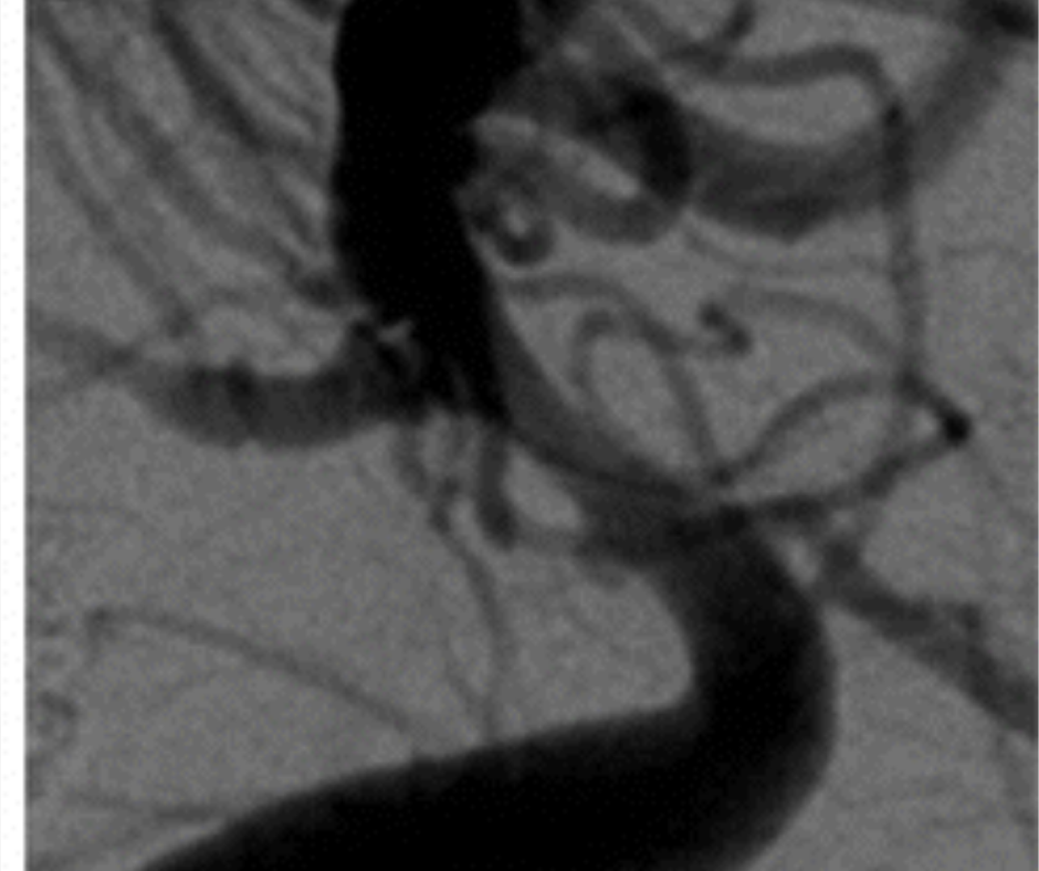
Emphasizing the proper diagnostic characterization of sidewall aneurysms, the authors of a new study found no significant differences in occlusion status or complications when they compared the approved use of intrasaccular flow disruption for bifurcation aneurysms to off-label treatment of sidewall aneurysms.

What is your diagnosis?

Validating a prognostic scoring system for locoregional recurrence risk in post-mastectomy patients with varying levels of axillary lymph node involvement, emerging research suggests patients with intermediate risk for breast cancer recurrence could benefit from post-mastectomy radiotherapy.

Does the assessment of complex cases in patients with multiple medical issues carry a certain psychological burden?

Review top radiology content from the week.

The advisory emphasizes that the computer-aided triage and notification (CADt) devices, many of which incorporate artificial intelligence (AI) or machine learning technology, are intended to aid radiologists in prioritizing the assessment of brain imaging that may reveal signs of large vessel occlusion (LVO).

What is your diagnosis?

What is your diagnosis?

In a recent video interview, Arun Krishnaraj, MD, MPH and David Larson, MD, MBA, discussed the continued use of physical media to transport medical images between different health-care facilities, resulting inefficiencies and delays with patient care, and the initiative to create a linked multi-hub model to end this dated practice once and for all.

In addition to recharging one’s batteries, a temporary hiatus from employment may provide time for self-reflection and recognition of what you truly enjoy about your work.

Review top radiology content from the week.

In a formal request to the Centers for Medicare and Medicaid Services (CMS), the American College of Radiology (ACR) emphasized that Medicare and Medicaid coverage of computed tomography colonography (CTC) could significantly improve colorectal cancer screening rates for at-risk populations.

Employing a deep learning system for pancreatic segmentation, researchers found that intrapancreatic fat percentage and pancreatic fractal dimension were among the key predictors for type 2 diabetes mellitus in a multivariable analysis.

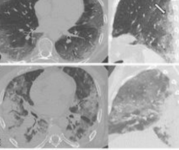
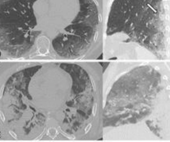
Multivariable analysis from a recently published study found that males and people older than 60 years of age were more prone to persistent abnormalities on chest computed tomography (CT) one year after COVID-19 pneumonia.

Artificial intelligence and other emerging technological advances may transform health-care certification, potentially improving access to best practice standards, increasing provider engagement, and bolstering collaboration.

Review top radiology content from the week.

The authors of a new meta-analysis found no significant differences between clinicians and artificial intelligence in diagnosing fractures but conceded that slightly over half of the studies assessed had a high risk of potential bias.

What is your diagnosis?

In a recent video interview, Syam Reddy, MD discussed the merits of computed tomography (CT) colonography, a non-invasive alternative to conventional colonoscopy, which may help reduce gaps in screening for colorectal cancer.

Review top radiology content from the week.

In a recent video interview, Kevin J. Abrams, MD, discussed highlights from the recent 25th Annual Symposium of the American Society of Spine Radiology (ASSR), including lectures on imaging for spontaneous intracranial hypotension, the emergence of dynamic susceptibility contrast for MR perfusion and insights on the use of dual-energy computed tomography (CT) for diagnosing vertebral fractures.

What does the CT image reveal?

Review top radiology content from the week.