
Catch up on the top radiology content of the past week.

Catch up on the top radiology content of the past week.

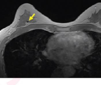
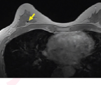
Emerging research suggests that the contrast-enhanced, in-phase Dixon sequence may be the most optimal sequence for detecting biopsy clips on breast magnetic resonance imaging (MRI).

Greater imaging utilization has increased the prevalence of incidental findings or incidentalomas, but unclear clinical context and guidelines complicate management. Accordingly, these authors offer a thorough review of the literature and discuss new opportunities for improving interdisciplinary management strategies.

Catch up on the top radiology content of the past week.

Offering a variety of features to enhance efficiency, bolster security and reduce IT overhead, the cloud-native SaaS platform may help radiologists minimize workflow issues that can impede practices with high imaging volume.

A little positivity and praise towards others can go a long way for how you assess and treat yourself, too.

Catch up on the top radiology content of the past week.

Mild, moderate, or marked background parenchymal enhancement on surveillance magnetic resonance imaging (MRI) reportedly doubles the risk of second breast cancer in women who have had surgery for primary breast cancer.

Catch up on the top radiology content of the past week.

Researchers found the combination of magnetic resonance imaging (MRI) and contrast-enhanced mammography was nearly 22 percent more effective at detecting breast lesions than MRI-directed ultrasound.

Catch up on the top AI-related radiology content of the past month.

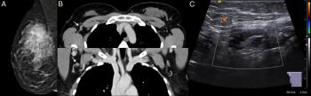
What is the diagnosis?

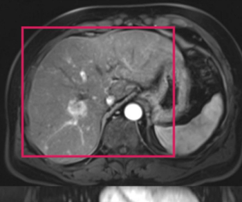
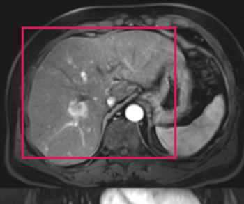
Noting that the machine learning model incorporating magnetic resonance imaging (MRI) had a higher mean area under the curve (AUC) than a model based solely on clinical features for predicting hepatocellular carcinoma recurrence, researchers said the study findings could have implications for refining liver transplant criteria.

Catch up on the top radiology content of the past week.

In comparison to neuroradiology assessment of brain magnetic resonance imaging (MRI) scans for tumor diagnosis, researchers found that adjunctive use of a deep learning system improved diagnostic accuracy by 12.4 percent and sensitivity by 33.5 percent in one test set of 300 patients.

The combination of magnetic resonance imaging (MRI) and computed tomography (CT) had a 63.83 percent sensitivity rate for tumor-infiltrated axillary lymph nodes in patients with breast cancer in comparison to a 36.11 percent sensitivity rate for the combination of mammography and sonography.

Emerging research suggests a robust association between pregnancy outcomes and placental measurements assessed via blood oxygen-level dependent magnetic resonance imaging (BOLD-MRI).

Canon Medical Systems offer a range of in-person and virtual educational opportunities for their clients.

Catch up on the top radiology content of the past week.

The Maestro Brain Model reportedly provides automated identification, quantification and labeling of brain structures on magnetic resonance imaging (MRI).

The ProstatID, an adjunctive artificial intelligence software that radiologists can utilize with traditional magnetic resonance imaging (MRI), reportedly measures prostate gland volume, and suggests PI-RADS scoring of suspicious lesions.

Catch up on the top radiology content of the past week.

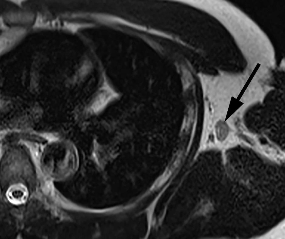
What is the diagnosis?

Researchers discuss key parameters for the assessment, implementation and post-implementation monitoring of emerging artificial intelligence (AI) tools in radiology practices large and small.

Viz.ai said the Viz Subdural Hematoma (SDH) artificial intelligence (AI) algorithm provides automatic detection of acute and chronic subdural hemorrhages, facilitating timely triage and treatment of patients.