
The deep learning model may offer enhanced sensitivity and specificity on MRI for patients with glioblastoma, according to preliminary research presented at the Society for Imaging Informatics in Medicine (SIIM) conference.

The deep learning model may offer enhanced sensitivity and specificity on MRI for patients with glioblastoma, according to preliminary research presented at the Society for Imaging Informatics in Medicine (SIIM) conference.

The new workload management system reportedly emphasizes predictive analytics to facilitate efficient workload distribution and increase reading capacity for radiologists.

In a newly published statement, the American College of Radiology cited questionable literature support for the recent FDA guidance and noted potential consequences ranging from diagnosis delays due to parental anxiety about contrast-enhanced computed tomography (CECT) and increased health care costs.

Do we settle for oblique truths more often than not to mitigate potential repercussions?

Catch up on the top radiology content of the past week.

In a recent video interview on the current iodinated contrast media shortage, neuroradiologist Sean Bryant, MD discussed imaging alternatives, emphasized communication with referring physicians on optimal studies, and discussed the ongoing need to prevent “protocol creep” with timely updates of imaging protocols.

The resumed production of GE Healthcare’s Omnipaque products is a welcome development for radiologists scrambling to come up with alternative dosing and imaging options in the past month during the temporary shortage of iodinated contrast media.

In an ongoing quest to reduce the impact of the temporary iodinated contrast media (ICM) shortage, a group of researchers recently examined Medicare claims data to identify high-frequency usage patterns of contrast-enhanced computed tomography (CECT) services.

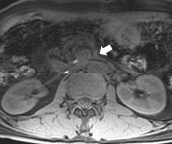
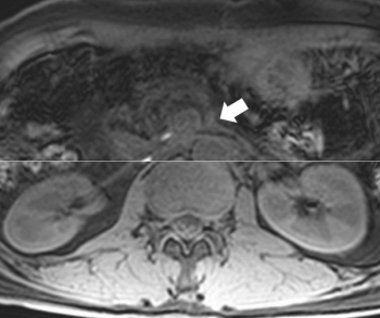
For post-op monitoring of patients who had pancreatic ductal adenocarcinoma (PDAC) resection, a new study showed that diffusion-weighted magnetic resonance imaging (MRI) had enhanced sensitivity for detecting recurrent tumors in comparison to conventional MRI.

Amid a glut of unnecessary imaging requests, common worklist frustrations and perceptions from other clinicians that they can interpret medical images just as well, recognizing your role as a humble difference maker may provide the ultimate RVU for patients.

Catch up on the top radiology content of the past week.

In a recent video interview, two radiology professors from the Yale School of Medicine discussed the impact of the iodinated contrast media (ICM) shortage and potential strategies, ranging from ICM dose reduction to possible deferment of non-urgent imaging, that may provide a viable path moving forward.

Researchers found that Korean women with a combination of benign breast disease and BI-RADS category C or BI-RADS category D breast density had a nearly threefold or greater 10-year risk for breast cancer.

In a recent lecture at the Society of Breast Imaging (SBI)/American College of Radiology (ACR) conference, Linda Moy, MD, reviewed key tips for optimizing magnetic resonance imaging (MRI) of the breast.

Could the emerging artificial intelligence platforms Saige-Dx and Quantib Prostate 2.0 improve cancer detection with mammography and prostate MRI?

Catch up on the top radiology content of the past week.

Given the challenges with the shortage of the iodinated contrast agent Omnipaque, national and state organizations have issued suggested risk mitigation and conservation strategies to reprioritize imaging needs during this temporary shortage.


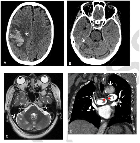
What is the diagnosis?

Sharing insights from their recent presentation at the American Roentgen Ray Society (ARRS) conference in a new video interview, researchers discussed how sex-based differences have an impact in the imaging and diagnosis of ischemic heart disease (IHD) in women.

Offering integrated artificial intelligence (AI) and seamless multi-nuclei imaging capabilities, the new magnetic resonance imaging (MRI) system reportedly enhances image quality and workflow efficiency.

Check out top radiology content from the past week.

In a recent presentation at the American Roentgen Ray Society (ARRS) conference, researchers discussed pertinent considerations with imaging of gunshot wounds.

Lung opacities/consolidation and cervical/axillary adenopathy are reportedly common findings in emergency room imaging of patients suspected of having complications related to COVID-19 vaccines, according to new research presented at the American Roentgen Ray Society (ARRS) conference.

Review the top radiology content from the past week.