
Young male presents with foot pain after injury. What most likely represents the imaging finding?

New Study Suggests MR Spectroscopy May Detect Brain Changes Linked to Disability in Multiple Sclerosis

FDA Approves Expanded MRI Compatibility for Emerging Spinal Cord Stimulation Modality

Young male presents with foot pain after injury. What most likely represents the imaging finding?

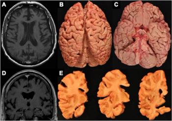
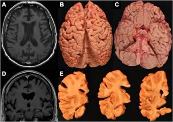
Emerging research suggests that frontotemporal atrophy on magnetic resonance imaging may be a key finding for chronic traumatic encephalopathy (CTE).

GE Healthcare unveils on-site detection upgrades and other advances with CT system as well as a new MRI device.

New research emphasizes roles of anterior collaterals and ischemic core growth rate in assessing patients with large vessel occlusion.

Technologies must be integrated with existing platforms and workflows, as well as demonstrate value.

Study findings further highlight the central role of PET/CT in disease response after CAR-T cell therapy.

Early study results suggest that low-field MRI may offer a cost-effective, radiation-free alternative to monitor ventricular volume changes in patients with hydrocephalus.

Diffusion-weighted imaging may be useful as a safe and effective screening tool to supplement mammography in women with dense breast tissues.

PSMA PET is highly robust in identifying prostate cancer lesions which are otherwise deemed unremarkable.

Following breast cancer treatment, women who have access to breast MRI may safely forgo additional mammographic or digital breast tomosynthesis follow-up.

Multiparametric MRI can detect pathologic complete response after neoadjuvant therapy in patients with esophageal squamous cell carcinoma.

Findings suggest that patients with suspected axial spondyloarthropathy not taking NSAIDs were more likely to have MRI proven inflammation compared with patients taking NSAIDs.

Breast ultrasound/MRI fusion significantly improves localization of incidentally detected MRI lesions which are occult on an initial ultrasound survey alone.

COVID-19 can result in cardiac complications including myocarditis, arterial and venous thromboembolism, and cardiomyopathy.

Learn more about what Canon Medical will be showcasing virtually at RSNA 2021.

Radiologists should be aware of the possible association of COVID-19 mRNA vaccination and myocarditis.

Study findings have the potential to widen the indication for treating patients in the extended window using simpler and more widespread non-contrast CT.

Elderly male with low back and pelvic pain. What most likely represents the imaging findings?

A recent article in Clinical Imaging suggests a three-pronged education approach to address healthcare disparities in radiology.

A young male presents with chest and right knee pain after injury. What most likely represents the imaging findings?

Can you make the diagnosis?

The report provides a universal set of recommendations and language for technique, interpretation and reporting of magnetic resonance defecography and is endorsed by six medical societies.

Awareness of the variable imaging characteristics and behavior of thymic cysts over time should help guide clinical management.

The post-processing software platform can reduce brain imaging acquisition time by 40%.

Nonsuppressed background parenchymal enhancement could indicate patients who will show inferior response and allow for a personalized redirection of treatment.