
|Articles|May 5, 2022
Image IQ Quiz: Acute Chest and Epigastric Pain in a 50-Year-Old Female
Author(s)Diagnostic Imaging Staff
What is the diagnosis?
Advertisement
Case submitted via
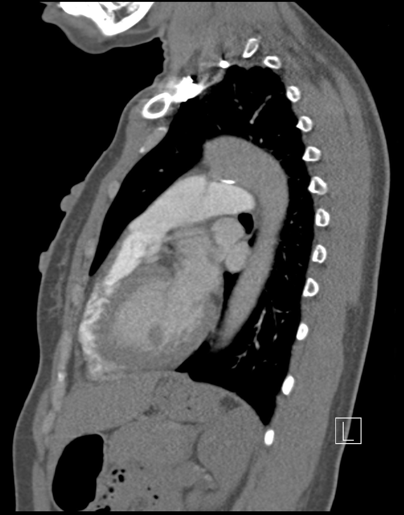
A 50-year old female presented with acute chest and epigastric pain. What is the diagnosis?
Newsletter
Stay at the forefront of radiology with the Diagnostic Imaging newsletter, delivering the latest news, clinical insights, and imaging advancements for today’s radiologists.
Advertisement
Advertisement
Advertisement
Trending on Diagnostic Imaging
1
Philips Introduces Helium-Free 3T MRI System at RSNA
2
Siemens Healthineers Unveils Expanded Capabilities of Contrast-Enhanced Mammography System at RSNA
3
RSNA: Study Suggests Significant Incidence of Invasive Breast Cancer in Young Women
4
Can Peer Competition Provide a Motivational Lift in the Absence of Traditional Incentives in Radiology?
5




























