
Screening performance with MR imaging and mammography depends on breast cancer risk category.

Screening performance with MR imaging and mammography depends on breast cancer risk category.

Imaging with F-FDG PET/CT at three months after initial treatment demonstrates effectiveness of anti-PD1 treatment for Hodgkin lymphoma.

Patients want more information about the tests being performed.

An MRI procedure that does not use contrast agents may reduce the number of unnecessary breast biopsies.

Patients who are at low risk for pulmonary embolism can be safely assessed with clinical criteria.

Radiologic interpretation of CT scans can improve when requisitions contain clinical information.

Radiologists take longer to read images, and provide worse diagnostic performances after working a night shift.

Pretreatment MRI shows kurtosis may be promising biomarker for identification of triple-negative breast cancer.

3-T multisequence MR neuroimaging can impact short-term hearing ability, even when hearing protection is used.

Ultrasound images can help clinicians track low-suspicion thyroid nodules following fine-needle aspiration biopsies.

A comparison of gadolinium-based contrast agents shows the nonionic linear GBCA gadodiamide had the lowest allergic reaction rate.

Detecting clinically significant disease among PI-RADS category 3 lesions may be improved by incorporating clinical parameters into risk stratification algorithms.

CT screening of small pulmonary nodules may help determine cancer risk.

Multiparametric MRI may not show all prostate cancer lesions or may underestimate their size.

CT angiography can help clinicians detect cerebral aneurysms smaller than 3 mm.

Screening mammography based on cancer risk alone may miss many cancers.

Supplemental imaging with CEDM may help detect cancer among women at high risk for cancer.

DTI to monitor patients with brain metastases may help physicians determine prognosis and response to immunotherapy.

Computed tomographic imaging of the colon demonstrates findings predictive for recurrent diverticulitis.

Using DBT as a screening tool does not significantly change BI-RADS category 3 classification.

Imaging helps identify ADHD in children and may also distinguish among subtypes of the condition.

CT combined with 3D printing accurately reproduced damaged parts of the middle ear.

Radiologic imaging shows brain chemistry changes in teens who are addicted to smart phones and the internet.

Magnetic resonance images show brain changes among adolescents who are obese.

CT shows former NFL players may have enlarged aortas compared with controls.

Radiologists in the emergency department can help advocate for patients with opioid-use disorders.

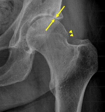
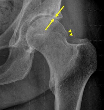
X-rays show that patients with osteoarthritis who receive a hip steroid/anesthetic injection may develop osteonecrosis of the hip.

Imaging with gadolinium does not put patients at risk for adverse neurologic outcomes later in life.

Patients can obtain relief from low back pain and sciatica with the use of image-guided pulsed radiofrequency treatments.

Effect of diet, exercise on people who are overweight or obese who lose weight to help decrease knee cartilage deterioration.