
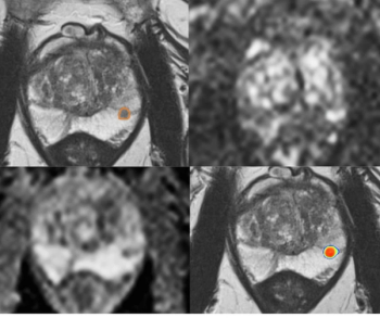
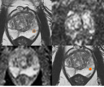
A model that combines MRI-based deep learning radiomics and clinical factors demonstrated an 84.8 percent ROC AUC and a 92.6 percent precision-recall AUC for predicting perineural invasion in prostate cancer cases.
Senior Editor, Diagnostic Imaging

A model that combines MRI-based deep learning radiomics and clinical factors demonstrated an 84.8 percent ROC AUC and a 92.6 percent precision-recall AUC for predicting perineural invasion in prostate cancer cases.

Intended for mammography and digital breast tomosynthesis (DBT) interpretation, the device reportedly emphasizes high-definition image quality and ease of use for radiologists.

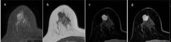
The absence of ipsilateral breast hypervascularity is three times more likely to be associated with false-negative findings on breast MRI and non-mass enhancement lesions have a 4.5-fold likelihood of being linked to false-positive results, according to new research.

For women with dense breasts, the combination of mammography and supplemental breast ultrasound had a 36.4 percent higher sensitivity rate for detecting breast cancer in comparison to the combination of mammography and adjunctive AI, according to a new study.

New research looking at photon-counting computed tomography (PCCT) demonstrated significantly reduced variation and tracheal air density attenuation with polyenergetic reconstruction in contrast to monoenergetic reconstruction on chest CT.

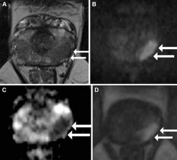
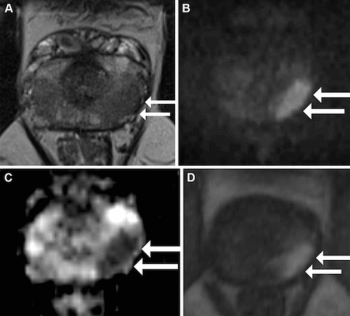
In comparison to systematic biopsy, researchers found that mpMRI-targeted biopsy had a nine percent higher detection rate for cribriform and intraductal prostate cancer subtypes that are associated with adverse outcomes.

Emerging research suggests CT radiation dosing of 50 mSv or greater is associated with higher mortality at two years but nearly half of those patients were alive 10 years later.

While PET/MRI and PET/CT had comparable sensitivity for patient-level regional nodal metastases and lesion-level recurrence, the authors of a systematic review noted that PET/MRI had significantly higher accuracy in breast cancer and colorectal cancer staging.

The ninth FDA clearance for the Swoop Portable MR Imaging system is for new software that enables significant scan time reduction for brain MRI scans.

After being informed about the benefits and risks associated with screening mammography, over a third of women polled indicated a preference to delay breast cancer screening.

The deep learning SubtleSynth software creates synthetic STIR images that are reportedly interchangeable with conventional sequences obtained from T1 and T2-weighted MRI.

The Aperto Lucent open 0.4T MRI platform reportedly offers enhanced fat suppression and spatial resolution capabilities in addition to its open architecture design.

Researchers found that mpMRI was 18 percent more accurate than dual-energy CT (DECT) for T1 staging and 19 percent more accurate for N3 staging of gastric cancer.

Offering dedicated PET imaging of the brain, the compact NeuroLF system may facilitate patient comfort while enabling detection and monitoring of brain tumors, epilepsy, and neurodegenerative diseases such as Alzheimer’s disease.

Going into effect in 2015, the Category III CPT add-on code may facilitate broader access to the use of fluorescence imaging for assessing margins after lumpectomies for signs of residual breast cancer.

Emerging research revealed that a machine learning combination of amyloid beta PET and structural MRI demonstrated an 89 percent AUC in differentiating between older healthy patients and those with Alzheimer’s disease.

Photon-counting CT-optimized features with the OmniTom Elite system include 30 cm field of view scanning, continuous spiral scanning, and an ultra-high-resolution capability of 0.141 mm resolution.

Incorporating age, lesion shape and effective atomic number in the venous phase of dual-energy CT (DECT), an emerging model demonstrated a 79.1 percent AUC for differentiating between malignant and benign breast lesions.

In newly issued proposals addressing changes to coverage for Medicare services in 2025, the Centers for Medicare and Medicaid Services (CMS) announced its intent to provide coverage of computed tomography colonography (CTC) for Medicare beneficiaries in 2025.

In the study of over 1,400 women with breast cancer, researchers noted that Black women with dense breasts or lobular histology were significantly less likely to have preoperative MRI exams than White women with the same clinical characteristics.

The MIM Software HDR Prostate reportedly enables clinicians to utilize preoperative MRI guidance and live ultrasound imaging to enhance tumor visualization during high dose-rate (HDR) brachytherapy treatments for prostate cancer.

The AISmartDensity software facilitated a cancer detection rate (CDR) with breast MRI that was nearly four times higher than the CDR previously reported in trials involving traditional breast density assessment.

New survey findings show that over half of the female respondents were unaware of uterine fibroids and less than 20 percent of women diagnosed with the condition received information about less invasive treatment options such as uterine fibroid embolization.

For men with prostate cancer, new research demonstrates that 18F-PSMA-1007 PET/CT is 17 percent more accurate than mpMRI at identifying the final pathological tumor stage and 12 percent more accurate in detecting extracapsular extension.

Photon-counting CT enables enhanced fissure visualization and a lower degree of cardiac motion artifacts for lung perfusion imaging at a significantly reduced scan time in contrast to dual-energy CT, according to new research findings.

The combination of mammography with breast MRI within 90 days had a 96.2 percent sensitivity in comparison to 48.1 percent for mammography and 79.7 percent for breast MRI performed within 91 to 270 days after index mammography, according to newly published research.

Utilizing a threshold of less than 5 mm of ultrasound-measured endometrial thickness, the authors of a new study noted an 11.4 percent false-negative probability for endometrial cancer in Black patients.

The combination of deep learning assessment of prostate MRI with PI-RADS classification at a 15 percent risk threshold spared 49 percent of biopsies in comparison to 37 percent employing a PI-RADS>4 only cut-ff approach, according to new research.

The EchoGo Heart Failure platform is reportedly the only AI-powered technology to receive a CPT reimbursement code for echocardiography detection of heart failure with preserved ejection fraction.

The radiotracer agent 99mTc-maraciclatide may provide an effective non-invasive alternative to laparoscopy for detecting early-stage endometriosis.