
The CINA-CSpine AI software reportedly demonstrated a 90.3 percent sensitivity rate for cervical spine fractures in validation testing on more than 300 non-contrast CT scans.
Senior Editor, Diagnostic Imaging

The CINA-CSpine AI software reportedly demonstrated a 90.3 percent sensitivity rate for cervical spine fractures in validation testing on more than 300 non-contrast CT scans.

The use of 177Lu-PSMA-617 was associated with a significantly longer radiographic progression-free survival and a 12 percent lower rate of grade 3 or higher adverse events in comparison to a change of ARPI therapy in patients with metastatic castration-resistant prostate cancer (mCRPC).

Emphasizing multi-structure segmentation and feature extraction from chest CT scans, an emerging AI model demonstrated an approximately 70 percent AUC for predicting significant incidental extrapulmonary findings as well as two-year and 10-year all-cause mortality.

Now available with MIMneuro, the Centiloid scaling software provides automated quantitative assessment of amyloid plaque density, a key component of Alzheimer’s disease.

In a study involving over 272,000 breast cancer screening exams, digital breast tomosynthesis (DBT) had a higher breast cancer detection rate and a lower rate of advanced cancer presentation at the time of diagnosis in comparison to digital mammography.

Providing automated TI-RADS classifications and worksheets, the new AI-enabled software may facilitate improved efficiency with thyroid ultrasound exams.

Radiomics models offered a pooled AUC of 86 percent for differentiating between ruptured and unruptured intracranial aneurysms, according to a recently published meta-analysis.

The PSMA-targeted modality 177Lu-PNT2002 improved radiographic progression-free survival by 29 percent in patients with mCRPC in comparison to ARPI therapy, according to new phase 3 trial data presented at the ESMO Congress in Spain.

The use of a portable dual-energy X-ray detector in the ICU at one community hospital reportedly facilitated a 37.5 percent decrease in chest CT exams in comparison to the previous three months, according to research presented at the American Society of Emergency Radiology (ASER) meeting in Washington, D.C.

While noting the strength of MRI for complete staging of disease and ultrasound’s ability to provide local disease characterization, the authors of a new literature review suggest the two modalities offer comparable results for diagnosing pelvic endometriosis.

Diffusion-weighted MRI provided pooled sensitivity and specificity rates of 82 percent and 81 percent respectively for gauging patient response to concurrent chemoradiotherapy for esophageal cancer, according to new meta-analysis.

Two ultralow-dose photon counting CT protocols yielded satisfactory quality for diagnostic assessment in over 95 percent of patients who had post-transplant lung deformities, according to new research.

Results from a multicenter phase 3 trial showed that the PET/CT imaging agent (89Zr)Zr-girentuximab had an 85.5 percent mean sensitivity rate for the diagnosis of clear cell renal cell carcinoma.

Developed with breast ultrasound data from nearly 1,200 women, a model with mixed radiomic and autoencoder features had a 90 percent AUC for diagnosing breast cancer, according to new research.

The imaging agent 18F-FAPI PET/CT demonstrated greater than a 45 percent higher sensitivity rate in comparison to 18F-FDG PET/CT for the detection of axillary and extraaxillary regional lymph node metastases, according to a lesion-based analysis from a recent study.

Facilitating natural contrast delivery through an intrauterine catheter, FemChec can be utilized for ultrasound assessment of fallopian tubes and may provide diagnostic confirmation for an emerging non-surgical option for permanent birth control.

A machine-learning-based model demonstrated an 87 percent area under the curve and a 90 percent specificity rate for predicting interstitial lung abnormality on CT scans, according to new research.

Geared toward ambulatory use, the HeartKey Rhythm suite reportedly offers enhanced signal clarity and rhythm detection algorithms.

In a study involving 396 confirmed neuroendocrine tumor liver metastases, researchers found that Gd-EOB-DTPA-enhanced MRI offered 19 percent higher sensitivity than polyenergetic CT.

Adjunctive AI showed no difference in accuracy than unassisted radiologists for intracranial hemorrhage (ICH) detection and had a slightly longer mean report turnaround time for ICH-positive cases, according to newly published prospective research.

For clinically significant prostate cancer, multiparametric MRI (mpMRI) has a pooled sensitivity rate of 88 percent in biopsy-naïve men, according to a new 16-study meta-analysis.

Offering enhanced deep learning technology, the updated NeuroQuant 5.0 software reportedly bolsters segmentation capabilities for amyloid-related imaging abnormalities (ARIA) in patients with Alzheimer’s disease.

In a comparison of imaging assessments to gauge the effectiveness of neoadjuvant chemotherapy for rectal adenocarcinoma, researchers found the combination of diffusion-weighted imaging and MR tumor regression grading had a 90 percent area under the curve (AUC) and a negative predictive value (NPV) of 93 percent.

The AI-enabled software Rayvolve reportedly demonstrated a 96 percent sensitivity rate for diagnosing pediatric fractures in a recent study involving 3,000 patients.

Utilizing a new machine learning model, the OptimMRI software may improve radiosurgery applications and lesioning techniques such as MRI-guided focused ultrasound through enhanced targeting of the inferolateral part of the ventral intermediate nucleus (VIM).

Targeting tau neurofibrillary tangles, the (18F)PI-2620 agent reportedly provides promising insight into the development of three neurodegenerative conditions including Alzheimer’s disease.

Identifying over 23 percent of interval breast cancers with a 96 percent sensitivity in mammography interpretation, an emerging AI software also facilitated correct localization in over 75 percent of cases involving interval breast cancer, according to new research.

Currently in phase III trials, the 64Cu-SAR-bisPSMA PET agent reportedly offers a longer half-life and higher tumor uptake than other radiopharmaceuticals for prostate cancer imaging.

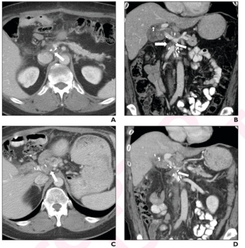
For patients who had post-op recurrence after a Whipple procedure for pancreatic ductal adenocarcinoma (PDAC), between 80 to 86 percent of follow-up CT exams revealed new or increased soft tissue.

Combining four CAD modules for valvular pathologies with a variety of automated measurements, the AI-enabled AISAP Cardio ultrasound system reportedly facilitates up to a 90 percent accuracy rate in detecting common cardiac conditions.