
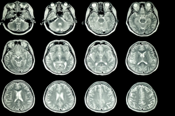
Through AI technology, Neurophet AQUA now provides multiple sclerosis (MS) analysis with a combination of lesion quantification and enhanced segmentation of T2-FLAIR MRI.
Senior Editor, Diagnostic Imaging

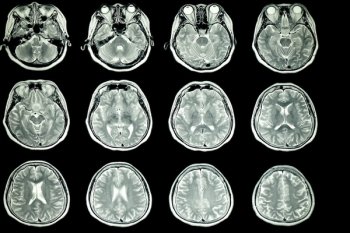
Through AI technology, Neurophet AQUA now provides multiple sclerosis (MS) analysis with a combination of lesion quantification and enhanced segmentation of T2-FLAIR MRI.

Use of the medication levothyroxine, commonly prescribed for hypothyroidism, was associated with greater long-term loss of total body bone mass in seniors, according to new DEXA research to be presented at the Radiological Society of North America (RSNA) conference.

While GPT-4 demonstrated higher overall accuracy than other large language models in answering ACR Diagnostic in Training Exam multiple-choice questions, researchers noted an eight percent decrease in GPT-4’s accuracy rate from the first month to the third month of the study.
Utilized in conjunction with hyperpolarized Xenon-129 for the assessment of lung ventilation, the chest coil can now be employed in the Signa Premier and Discovery MR750 3T MRI systems.

Offering a variety of AI-enabled tools to facilitate radiology workflow efficiency, the BlueSeal MRI system is reportedly the first wide bore, helium-free 1.5T MRI platform in the field.

In a recent interview, Richard Duszak, MD, discussed new study findings that showed over nine percent annual increases in ultrasound, CT and MRI interpretation by office-based non-physician practitioners (NPPs) between 2013 and 2022.

The AI-enabled EchoGo® Amyloidosis software for echocardiography has reportedly demonstrated an 84.5 percent sensitivity rate for diagnosing cardiac amyloidosis in heart failure patients 65 years of age and older.

While a large retrospective study found that interstitial lung abnormalities (ILAs) were evident on 1.7 percent of computed tomography (CT) scans, researchers found that 43.9 percent of ILAs, including fibrotic ILAs, were not reported.

For patients undergoing curative treatment for lung cancer, coronary artery calcification scoring via computed tomography has a 97 percent likelihood of determining their risk for major cardiovascular events, according to a new meta-analysis.

Agreement on follow-up imaging was 41 percent more likely with recommendations by thoracic radiologists and 36 percent less likely on recommendations for follow-up nuclear imaging, according to new research.

Reportedly developed on over 90,000 ultrasound exams, the BrightHeart AI software identifies suspicious findings suggestive of congenital heart defects through AI-powered evaluation of fetal heart morphology.

In an interview, SNMMI president Cathy Cutler, PhD, discussed the impact of the recent CMS decision to unbundle reimbursement for diagnostic radiopharmaceuticals costing above $630 a day, calling it a “game changer” decision that will benefit patients, physicians, and the development of new radiopharmaceutical agents.

Emerging research demonstrated that the Stone Clear device, which facilitates post-lithotripsy clearance of kidney stone fragments, led to a 70 percent lower risk of relapse in comparison to observation in a control group.

New research demonstrates that photon-counting computed tomography angiography (PC CTA) provides sensitivity, specificity, and accuracy rates of 90 percent and higher for the detection of stenotic disease in patients with peripheral artery disease (PAD).

Icobrain.aria is reportedly the first AI software geared toward the detection and monitoring of amyloid-related imaging abnormalities (ARIAs) on brain MRI.

The Signa Magnus MRI device offers a slew rate and gradient amplitude that are reportedly superior to those of 60 or 70 cm bore whole-body MRI systems.

Researchers found that new prostate lesion detection on SPECT/CT at the beginning of a second cycle of 177 Lu-PSMA-617 for mCRPC was associated with an over sevenfold higher mortality risk.

The Spectral CT 7500 RT system reportedly combines 4D conventional computed tomography (CT) with the enhanced quantification and visualization of spectral CT to facilitate improved precision with radiotherapy.

Employing deep learning reconstruction at four excitations for DWI MRI may lead to an average five-minute reduction in exam time for prostate mpMRI, according to a new study.

Employing advanced deep learning convolutional neural networks, ProFound Detection Version 4.0 reportedly offers a 50 percent improvement in detecting cancer in dense breasts in comparison to the previous version of the software.

Trained on over five million spine MRI scans, the RAI software reportedly facilitates rapid pathology detection and enhanced consistency with disc measurement.

In addition to a lower rate of preoperative breast MRI use, emerging research found that Black women with breast cancer who didn’t have a preoperative MRI had a higher positive surgical margin rate than White women with no preoperative MRI.

Facilitating optimal use of contrast, the Medrad Centargo CT Injection System reportedly combines user-friendly features with workflow efficiency for high-volume CT departments.

An artificial intelligence (AI) model demonstrated a 72 percent AUC for predicting breast cancer one year before a subsequent MRI.

In newly published guidelines, researchers discuss the utility of CT, MRI and PET/CT in the diagnosis, staging, treatment monitoring and follow-up imaging for peritoneal metastases in patients with ovarian or colorectal cancer.

Non-contrast computed tomography offered 82 percent sensitivity and 94 percent specificity for the diagnosis of moderate hepatic steatosis, according to a 42-study meta-analysis.

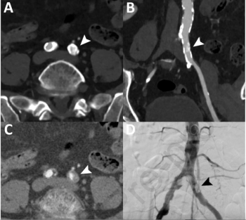
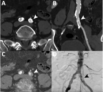
In recent interviews, Eric Rohren, M.D., and Krishna Nallamshetty, M.D., discuss the potential of abdominal aortic aneurysms (AAAs) to progress into life-threatening consequences and an emerging AI-powered tool that may bolster adherence to best practice recommendations in radiology reporting of incidental AAA findings on CT and MRI.

In a recent interview, Stamatia Destounis, M.D., discussed the impact of national breast density notification for mammography reports and key considerations with staffing and ongoing education for patients, staff and referring providers on the merits of supplemental breast imaging.

For patients with rectal cancer, an emerging nomogram that combines deep learning and clinical factors had greater than 16 percent and 23 percent increases in accuracy and specificity, respectively, for pre-op prediction of tumor deposits in comparison to clinical factors alone.

For clinically actionable pneumothorax, an artificial intelligence algorithm demonstrated a 93 percent AUC and a 96 percent specificity rate in a study involving chest X-rays from over 27,000 adults.