
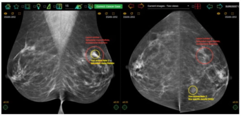
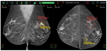
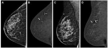
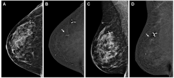
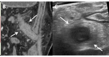
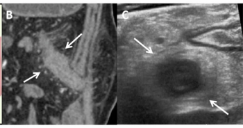
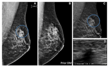
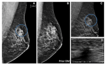
A symptomatic first breast cancer diagnosis, prevailing breast density at a second breast cancer diagnosis and trabecular thickening on surveillance mammography were linked to mammogram-occult ipsilateral breast cancer, according to new research.
Senior Editor, Diagnostic Imaging

A symptomatic first breast cancer diagnosis, prevailing breast density at a second breast cancer diagnosis and trabecular thickening on surveillance mammography were linked to mammogram-occult ipsilateral breast cancer, according to new research.

Based off rapid magnetic resonance imaging (MRI), the AI-enabled MuscleView reportedly offers 3D analysis of muscle volume, muscle asymmetry and intramuscular fat.

In a multicenter study of over 370 women who had surgery for ovarian cystic lesions without acute symptoms, researchers found that 42 percent of the resected lesions were deemed to have an O-RADS ultrasound risk score of 2, which has less than a one percent chance of malignancy.
With the capability of identifying possible cases of aortic value stenosis (AVS) from existing electrocardiograms (ECGs), the AI-powered screening software from AccurKardia may facilitate earlier diagnosis of AVS, which is fatally missed in 50 percent of patient who have this condition.

PSMA PET/CT revealed progressive PCa in 31 percent of patients who demonstrated greater than a 50 percent decline in PSA level after treatment with either an androgen receptor-targeted agent or chemotherapy.

The clearance may facilitate improved standardization and efficiency of dosimetry-guided, theranostic applications of radiopharmaceutical therapy.

In a study looking at the impact of experience and case volume of breast screening radiologists, researchers found that reviewing more than 150 cases per week was necessary to achieve an 80 percent rate of true-positive assessments for malignant calcifications.

Mean artificial intelligence (AI) scoring for breasts developing cancer was double that of contralateral breasts at initial biennial screening and was 16 times higher at the third biennial screening, according to a study involving over 116,000 women with no prior history of breast cancer.

For patients with extremely dense breasts, contrast-enhanced mammography offered greater than 60 percent higher sensitivity than low-energy mammography for diagnosing breast cancer, according to new research.

In a recent interview, Bridget Koontz, M.D., discussed the capability of the PET imaging agent 18F-flotufolastat for diagnosing post-prostatectomy recurrence of prostate cancer in patients with PSA values less than 1 ng/mL, based on research presented at the American Society for Radiation Oncology (ASTRO) conference.

Through analysis of coronary computed tomography angiography (CCTA) images, the PlaqueIQ software provides quantification and classification of atherosclerosis, a common cause of myocardial infarction (MI) and ischemic stroke.

In a multicenter study of over 1,100 patients with COVID-19, pleural effusion was detected on CT scans in nearly a third of patients, who also had significantly higher ICU admission and 30-day mortality rates.

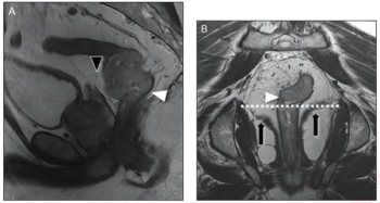
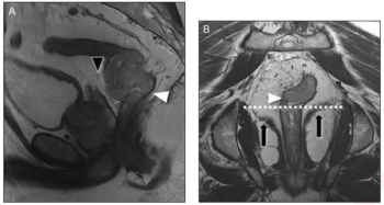
Noting a rapidly changing paradigm for the treatment of rectal cancers, the authors of a new literature review discuss current and emerging principles in MRI assessment and staging.

The inclusion of the 3D imaging technology PlatinumTomo in the Mammomat B.brilliant device reportedly enables clinicians to obtain 50-degree 3D images in less than five seconds.

Offering higher diagnostic efficacy than SPECT imaging for coronary artery disease (CAD) detection, the PET myocardial perfusion imaging agent Flyrcado™ (flurpiridaz F 18, GE HealthCare) provides unit dose availability and effectiveness in imaging patients with high BMI.

Omitting biopsy procedures in men with PSA levels > 3 ng/ml and negative MRI findings for prostate cancer (PCa) was associated with significantly lower risks of diagnosing clinically insignificant PCa in comparison to the use of systematic biopsy, according to an approximately four-year study of over 13,000 men who had prostate cancer screening.

The addition of parameters such as patient age, MIP sign and associated imaging features to the Kaiser score demonstrated a 95.6 percent AUC for breast cancer detection of enhancing lesions on breast MRI in recently published research.

Intestinal ultrasound demonstrated an 88.2 percent agreement with computed tomography enterography in characterizing creeping fat in patients with Crohn’s disease, according to new research.

Irrespective of differences with radiation dosing and tube voltage, obtaining CT-derived fat fraction from photon-counting detector CT provides consistently comparative results to MRI-derived proton density fat fraction assessment, according to new research.

A new meta-analysis found that PSMA PET/CT offers a 12 percent higher positivity rate for detecting biochemical recurrence of PCa and a 19 percent higher positivity rate for identifying lymph node metastasis in comparison to mpMRI.

The Piur tUS Infinity system reportedly reduces operator dependency with ultrasound through upgrading of two-dimensional ultrasound devices and access to 3D multiplanar image reconstructions of thyroid conditions.

For patients who had neuroradiological trauma CT scans, researchers noted no significant visual differences between deep learning denoising at 25% mAs and iterative reconstruction at 100% mAs.

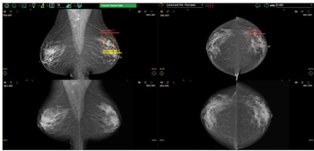
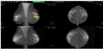
While researchers noted no significant impact on sensitivity rates, they found that access to a patient’s prior mammograms resulted in a nearly 15 percent increase in sensitivity for current mammography interpretation.

The CINA-CSpine AI software reportedly demonstrated a 90.3 percent sensitivity rate for cervical spine fractures in validation testing on more than 300 non-contrast CT scans.

The use of 177Lu-PSMA-617 was associated with a significantly longer radiographic progression-free survival and a 12 percent lower rate of grade 3 or higher adverse events in comparison to a change of ARPI therapy in patients with metastatic castration-resistant prostate cancer (mCRPC).

Emphasizing multi-structure segmentation and feature extraction from chest CT scans, an emerging AI model demonstrated an approximately 70 percent AUC for predicting significant incidental extrapulmonary findings as well as two-year and 10-year all-cause mortality.

Now available with MIMneuro, the Centiloid scaling software provides automated quantitative assessment of amyloid plaque density, a key component of Alzheimer’s disease.

In a study involving over 272,000 breast cancer screening exams, digital breast tomosynthesis (DBT) had a higher breast cancer detection rate and a lower rate of advanced cancer presentation at the time of diagnosis in comparison to digital mammography.

Providing automated TI-RADS classifications and worksheets, the new AI-enabled software may facilitate improved efficiency with thyroid ultrasound exams.

Radiomics models offered a pooled AUC of 86 percent for differentiating between ruptured and unruptured intracranial aneurysms, according to a recently published meta-analysis.