
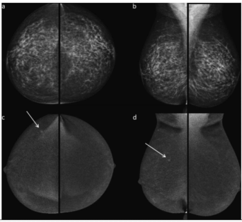
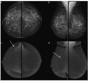
In addition to a lower rate of preoperative breast MRI use, emerging research found that Black women with breast cancer who didn’t have a preoperative MRI had a higher positive surgical margin rate than White women with no preoperative MRI.
Senior Editor, Diagnostic Imaging

In addition to a lower rate of preoperative breast MRI use, emerging research found that Black women with breast cancer who didn’t have a preoperative MRI had a higher positive surgical margin rate than White women with no preoperative MRI.

Facilitating optimal use of contrast, the Medrad Centargo CT Injection System reportedly combines user-friendly features with workflow efficiency for high-volume CT departments.

An artificial intelligence (AI) model demonstrated a 72 percent AUC for predicting breast cancer one year before a subsequent MRI.

In newly published guidelines, researchers discuss the utility of CT, MRI and PET/CT in the diagnosis, staging, treatment monitoring and follow-up imaging for peritoneal metastases in patients with ovarian or colorectal cancer.

Non-contrast computed tomography offered 82 percent sensitivity and 94 percent specificity for the diagnosis of moderate hepatic steatosis, according to a 42-study meta-analysis.

In recent interviews, Eric Rohren, M.D., and Krishna Nallamshetty, M.D., discuss the potential of abdominal aortic aneurysms (AAAs) to progress into life-threatening consequences and an emerging AI-powered tool that may bolster adherence to best practice recommendations in radiology reporting of incidental AAA findings on CT and MRI.

In a recent interview, Stamatia Destounis, M.D., discussed the impact of national breast density notification for mammography reports and key considerations with staffing and ongoing education for patients, staff and referring providers on the merits of supplemental breast imaging.

For patients with rectal cancer, an emerging nomogram that combines deep learning and clinical factors had greater than 16 percent and 23 percent increases in accuracy and specificity, respectively, for pre-op prediction of tumor deposits in comparison to clinical factors alone.

For clinically actionable pneumothorax, an artificial intelligence algorithm demonstrated a 93 percent AUC and a 96 percent specificity rate in a study involving chest X-rays from over 27,000 adults.

Emerging technologies included with the 10th version of the 1.5T MRI platform include Synergy DLR Clear and Synergy Vision that are geared toward mitigating common challenges with artifacts.

For patients who received radiotherapy for localized prostate cancer, total intraprostatic tumor volume derived from AI segmentation had a 10 percent higher AUC for predicting seven-year metastases in comparison to a risk model from the National Comprehensive Cancer Network (NCCN).

The AI-enabled AutoChamber software also garnered the FDA’s breakthrough device designation for opportunistic detection of enlarged heart chambers on non-contrast CT scans.

Al-powered quantitative assessment of coronary CT angiography (CCTA) revealed that non-calcified plaque volume was over 3.5 times higher in patients who had major adverse cardiovascular events, according to multicenter research presented at the Transcatheter Cardiovascular Therapeutics (TCT) conference.

In a 10-year study involving over 5,400 women with nearly 85 percent having dense breasts, contrast-enhanced mammography (CEM) demonstrated a 95.9 percent sensitivity rate for breast cancer.

New research revealed no significant difference between gadolinium-free MRI and GBCA-enhanced MRI in preoperative predictive accuracy for the grading of diffuse gliomas in adults.

For patients with biochemical recurrence of prostate cancer, PSMA PET imaging may facilitate a 12.8 percent lower incidence of prostate cancer mortality in contrast to the combination of CT and bone scan, according to long-term outcome estimates from a new decision-analytic modeling study.

The updated software reportedly provides access to more than 200 enhanced features including optimized hanging protocols with a cardiac MRI viewer and perfusion quantification analysis.

A model emphasizing time-dependent diffusion MRI was 15 percent more effective than apparent diffusion coefficient (ADC) measurements at predicting pathologic complete response to neoadjuvant chemotherapy for women with breast cancer, according to new research.

The Gentuity HF-OCT Imaging System, which includes the 1.8 F Vis-Rx Micro-Imaging Catheter, is reportedly the first intravascular imaging system to garner a specific indication for pre- and post-intervention assessments of coronary vessels.

The Ezra Blueprint scan reportedly includes quantitative brain measurements, coronary calcium scoring (CAC) and a full-body MRI that provides screening for over 500 conditions.

Earlier detection of PSMA-avid lesions in post-radiotherapy patients with increases in PSA levels < 2 ng/ml above nadir were reportedly associated with a significantly lower incidence of distant metastases and lower overall mortality rates.

Designed for theranostic imaging applications, the AnyScan Trio SPECT/CT TheraMax scanner was recently unveiled at the annual meeting of the European Association of Nuclear Medicine (EANM).

For segment-level coronary artery calcium (CAC) scoring, a deep learning model had an accuracy rate of 73 percent for assigning calcifications to coronary artery segments and achieved a micro-average specificity of 97.8 percent.

Offering standardized assessment of amyloid plaque and insights on tau protein tangles, the newly clearly FDA features of Centiloid scoring and tau PET quantification with syngo.PET Cortical Analysis software may facilitate diagnosis of Alzheimer’s disease.

Adjunctive use of deep learning reportedly led to a 37 percent reduction of interpretation time for cerebral aneurysm assessment on computed tomography angiography (CTA) and greater than a 90 percent reduction in post-processing time.

Examining six comparative studies within a new meta-analysis, researchers found that FAPI PET/CT offered 11 percent higher pooled sensitivity and 28 percent higher pooled specificity than FDG PET/CT for diagnosing lymph node metastases in patients with lung cancer.

When employing a PI-RADS > 4 cutoff, researchers found that the mdprostate software provided an 85.5 percent sensitivity rate for diagnosing clinically significant prostate cancer on mpMRI.

Leveraging AI technology, the AiMIFY software reportedly facilitates double the contrast enhancement in comparison to gadolinium-based contrast agents (GBCAs) for brain MRI.

The Sonire Therapeutics ultrasound system is currently being studied for the treatment of patients with unresectable pancreatic cancer refractory or intolerant to first-line chemotherapy.

In nearly 5,300 patients with suspected coronary artery disease (CAD), adjunctive use of CT-based fractional flow reserve software significantly reduced the 90-day invasive coronary angiography (ICA) rate in comparison to unassisted use of coronary computed tomography angiography (CCTA).