
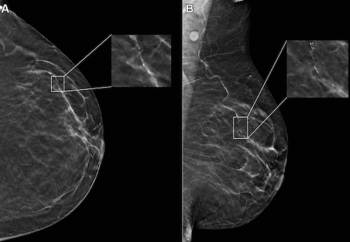
Offering comparable sensitivity to radiologists for detecting contralateral breast cancer on mammography images, an emerging adjunctive AI software may also facilitate earlier diagnosis, according to study findings presented at the at the 2024 American Society of Clinical Oncology (ASCO) Annual Meeting.



















































