
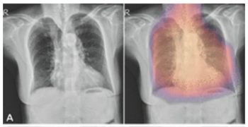
New research shows the use of adjunctive AI resulted in a 12 percent higher sensitivity rate for lung nodule detection in comparison to radiologists without AI.

New research shows the use of adjunctive AI resulted in a 12 percent higher sensitivity rate for lung nodule detection in comparison to radiologists without AI.

The first radiology triage modality to garner a Breakthrough Device Designation from the FDA, Annalise-Obstructive Hydrocephalus has reported sensitivity and specificity rates of 97.5 percent and 95.3 percent respectively.

Catch up on the top AI-related news and research in radiology over the past month.

Featuring the previously FDA-cleared BioTraceIO Vision and BioTraceIO Precision modalities, the BioTrace software suite combines real-time ultrasound guidance and advanced AI technology to help bolster outcomes with liver tumor ablation therapy.

Catch up on the most-well viewed radiology content in July 2024.

Catch up on the top radiology content of the past week.

For women with dense breasts, the combination of mammography and supplemental breast ultrasound had a 36.4 percent higher sensitivity rate for detecting breast cancer in comparison to the combination of mammography and adjunctive AI, according to a new study.

Catch up on the top radiology content of the past week.

The deep learning SubtleSynth software creates synthetic STIR images that are reportedly interchangeable with conventional sequences obtained from T1 and T2-weighted MRI.

Catch up on the top radiology content of the past week.

The AISmartDensity software facilitated a cancer detection rate (CDR) with breast MRI that was nearly four times higher than the CDR previously reported in trials involving traditional breast density assessment.

Catch up on the top radiology content of the past week.

The EchoGo Heart Failure platform is reportedly the only AI-powered technology to receive a CPT reimbursement code for echocardiography detection of heart failure with preserved ejection fraction.

Catch up on the top radiology content of the past week.

Catch up on the most-well viewed radiology content in June 2024.

Out of 315 patients identified by artificial intelligence (AI) as being at high risk for osteoporosis, subsequent screening with dual-energy X-ray absorptiometry (DXA) in a randomized controlled trial revealed new-onset osteoporosis in 237 patients.

Using a reduced leadset and deep neural network algorithms trained on more than 175 million electrocardiograms, the KAI 12L technology reportedly detects up to 35 cardiac determinations, including acute myocardial infarction.

Clarius OB AI reportedly provides estimates of fetal age, weight and growth intervals based on automated fetal biometry measurements available through handheld ultrasound.

Catch up on the top AI-related news and research in radiology over the past month.

Noting an average processing time of 24 seconds for deep learning detection of acute ischemic stroke on brain MRI, the authors of a new study said deep learning assessment of DWI and FLAIR sequences had equivalent sensitivity and AUROC to T2WI MRI.

Catch up on the top radiology content of the past week.

Artificial intelligence facilitated a 96.2 percent sensitivity rate for incidental pulmonary embolism (IPE) on contrast-enhanced CT chest or abdomen exams, according to new prospective research involving over 4,300 patients.

Catch up on the top radiology content of the past week.

In validation testing with 205 18F florbetapir PET scans from 95 patients with Alzheimer’s disease, a deep learning model demonstrated a 93.2 percent accuracy rate and a 97 percent AUC for detecting amyloid-β positivity.

Artificial intelligence (AI) assisted contouring of prostate cancer demonstrated superior balanced accuracy than manual standard-of-care contouring and hemigland contouring with MRI, according to a new study.