
The adjunctive use of AI software led to 16 percent and 10 percent increases in sensitivity rates for the detection of ARIA-E and ARIA-H, respectively, in patients with Alzheimer’s disease, according to newly published research.

The adjunctive use of AI software led to 16 percent and 10 percent increases in sensitivity rates for the detection of ARIA-E and ARIA-H, respectively, in patients with Alzheimer’s disease, according to newly published research.

The AI-enabled HealthFLD software demonstrated a 77.8 percent sensitivity rate and a 93.2 percent specificity rate for diagnosing moderate hepatic steatosis on contrast-enhanced CT scans in a recent study of over 2,900 patients.

Facilitating timely diagnosis and intervention for brain bleeds, the artificial intelligence (AI)-powered Viz ICH Plus software may provide quantified assessment for intracranial hyperdensities, lateral ventricles and midline shifts.

The use of multiple artificial intelligence (AI) modalities to assess blood vessel density reduction and computed tomography perfusion (CTP) mismatch values facilitated a 93.3 percent detection rate for medium vessel occlusions, according to research presented recently at the International Stroke Conference.

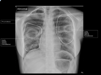
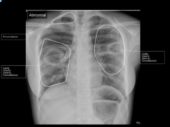
With reported increases in tuberculosis cases after the COVID-19 pandemic, the qSpot-TB adjunctive artificial intelligence (AI) device may facilitate improved diagnosis of the disease on chest X-rays.

Catch up on the top radiology content of the past week.

Combining advanced volumetric imaging technology with deep learning, the Genius Digital Diagnostics System has reportedly shown a 28 percent reduction in false negatives for high-grade squamous intraepithelial lesions and other severe lesions in comparison to microscopic review.

Researchers found the use of deep learning reconstruction for computed tomography colonography (CTC) led to 25 percent higher subjective image quality scoring than iterative image reconstruction at a substantially reduced rate of radiation dosing.

Catch up on the most-well viewed radiology content in January 2024.

Employing reconstructed radiographs from 3D hip CT scans, a deep learning model demonstrated a higher concordance index (C index) and higher two- and three-year AUCs than multiple imaging models and three clinical models for predicting subsequent fracture risk in patients with hip fractures.

Catch up on the top radiology content of the past week.

Catch up on the top AI-related news and research in radiology over the past month.

The new Category I CPT code reportedly facilitates a nearly 7 percent increase in reimbursement for use of the CT-based fractional flow reserve assessment of coronary blood flow.

In a recently issued statement from multiple radiology societies including the RSNA and ACR, researchers offer practical advice for evaluating artificial intelligence (AI) tools, implementing AI into current workflows and monitoring of the technology to help ensure optimal benefit and effectiveness.

Reportedly offering improved delineation of pulmonary structures and greater accuracy with computed tomography (CT) values of pulmonary tissue, the artificial intelligence (AI)-powered LungQ 3.0.0. may facilitate enhanced precision and efficiency with interventional procedures such as lung volume reduction and ablation procedures.

Catch up on the top radiology content of the past week.

For patients with suspected interstitial lung disease, the digital biomarker solution Fibresolve offers machine learning capability of diagnosing idiopathic pulmonary fibrosis (IPF) based on assessment of lung computed tomography (CT) scans.

Catch up on the top radiology content of the past week.

Utilizing brain MRI and cognitive assessments, the newly FDA-approved, AI-powered software platform BrainSee can reportedly predict the progression of amnestic mild cognitive impairment (aMCI) to Alzheimer’s dementia within five years.

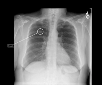
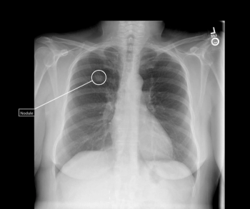
In part of an ongoing multicenter study evaluating commercial artificial intelligence (AI) products in radiology, AI lung nodule detection software from four out of seven vendors demonstrated stand-alone AUCs ranging from 5 to 12 percent higher than the mean AUC of 17 reviewing radiologists.

Offering enhanced utility for assessing urinary incontinence, bladder emptying and urinary retention, the Clarius Bladder AI ultrasound software reportedly provides bladder volume measurement in seconds.

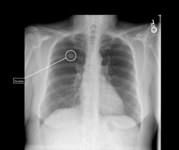
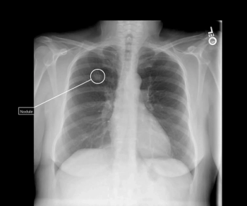
Tailored for incidental findings on chest radiographs, the qXR for Lung Nodule (qXR-LN) software utilizes artificial intelligence (AI) to help detect suspected pulmonary nodules ranging between 6 to 30 mm.

Catch up on the top radiology content of the past week.

At an amplitude of 200 mT/m and a slew rate of 200 T/m/s, the gradients for the FDA-cleared MAGNETOM Cima.X are reportedly the strongest for currently available whole-body MRI scanners.

An emerging deep learning model, which incorporates T2-weighted MRI and clinical data, demonstrated an 83.9 percent AUC and an 85 percent specificity rate for preoperative prediction of tumor deposits in patients with rectal cancer.