
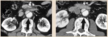
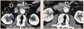
A dramatic shift in R&D toward patient safety has taken place in the CT industry, a shift most clearly seen in efforts to reduce patient radiation dose. Iterative reconstruction algorithms are a prominent fixture at the ISCT meeting this year, as they and their future development are increasingly seen as providing the means to cut dose, while maintaining or even boosting image quality.








































