
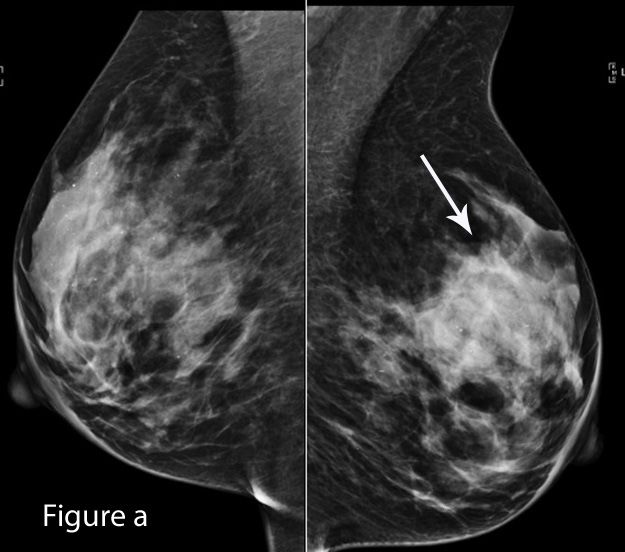
Screening with tomosynthesis in conjunction with digital mammography lowers recall rates and increases cancer detection.

Screening with tomosynthesis in conjunction with digital mammography lowers recall rates and increases cancer detection.

What’s the preferred breast cancer screening modality? When should patients begin screening mammograms? Are guidelines being considered? We compiled the data.

When mammograms are read by radiologists who are familiar with the patients’ risk factors, there are fewer missed diagnosis and false positives.

Women aged 50 to 69 who underwent mammography screening had a reduced death rate compared to women who did not have mammography screening.

Lower recall rates, more cancer detection were seen with 3D digital breast tomosynthesis, compared with 2D digital mammography.

Use of digital breast tomosynthesis varies across the country and among practices, but is most often used clinically.

The FDA has given Bayer’s Gadavist approval for use with MRI of the breast to evaluate malignant breast disease.

74-year-old presents with palpable lump in left breast, status post left lumpectomy for infiltrating ductal carcinoma with sequential radiation 16 years ago.

Tomosynthesis, photon counting and photoacoustic imaging are just a few of the growing options for breast imaging technology.

Timing of DTI is not restricted by the menstrual cycle, but is sensitive to menopause and milk in lactating women.

Preoperative MRI in early breast cancer can reduce reexcision rates and, therefore, minimize patient anxiety.

In cost comparison of screen-film mammography and digital mammography, digital is more cost-effective.

Emergency department radiology services frequently are uncompensated among both uninsured and insured patients.

As breast imaging technology advances, providers are looking to vendors to help meet their needs. Find out here which vendors are favored.

Reconstructed 2D images, with no radiation exposure, and tomosynthesis are comparable to full field digital mammography plus DBT in screening mammograms.

37-year-old female with no significant family history of malignancy presents with asymmetric enlargement of the left breast, palpable on physical examination.

Radiologists can help members of the public better understand cancer screening imaging exams by providing public educational talks or presentations.

With patient satisfaction an increasing concern, radiology vendors and facilities are focused on improving the imaging experience.

Radiology resident recognized for research into compressing mammograms for accurate and speedy electronic transmission.

Information about Washington's proposed breast density notification legislation.

Information about South Carolina's breast density notification legislation.

Information about Michigan's breast density notification legislation.

Information about Massachusetts' breast density notification legislation.

Information about Illinois' proposed breast density notification legislation.

Information about Georgia's breast density notification legislation.