
In a recent survey of over 13,700 people between the ages of 50 and 75, researchers found that only 1.4 percent of respondents had colorectal cancer screening with computed tomography (CT) colonography.


In a recent survey of over 13,700 people between the ages of 50 and 75, researchers found that only 1.4 percent of respondents had colorectal cancer screening with computed tomography (CT) colonography.

While there can be an array of challenges in outsourcing night coverage to teleradiology service providers, due diligence with contract terms can help mitigate costs and increase flexibility if radiology practices decide to switch teleradiology providers down the line.

Review top radiology content from the week.

Emphasizing the proper diagnostic characterization of sidewall aneurysms, the authors of a new study found no significant differences in occlusion status or complications when they compared the approved use of intrasaccular flow disruption for bifurcation aneurysms to off-label treatment of sidewall aneurysms.

What is your diagnosis?

Validating a prognostic scoring system for locoregional recurrence risk in post-mastectomy patients with varying levels of axillary lymph node involvement, emerging research suggests patients with intermediate risk for breast cancer recurrence could benefit from post-mastectomy radiotherapy.

Does the assessment of complex cases in patients with multiple medical issues carry a certain psychological burden?

Review top radiology content from the week.

In a recent video interview, Arun Krishnaraj, MD, MPH and David Larson, MD, MBA, discussed the continued use of physical media to transport medical images between different health-care facilities, resulting inefficiencies and delays with patient care, and the initiative to create a linked multi-hub model to end this dated practice once and for all.

Review top radiology content from the week.

In a formal request to the Centers for Medicare and Medicaid Services (CMS), the American College of Radiology (ACR) emphasized that Medicare and Medicaid coverage of computed tomography colonography (CTC) could significantly improve colorectal cancer screening rates for at-risk populations.

Employing a deep learning system for pancreatic segmentation, researchers found that intrapancreatic fat percentage and pancreatic fractal dimension were among the key predictors for type 2 diabetes mellitus in a multivariable analysis.

Review top radiology content from the week.

The authors of a new meta-analysis found no significant differences between clinicians and artificial intelligence in diagnosing fractures but conceded that slightly over half of the studies assessed had a high risk of potential bias.

In a recent video interview, Syam Reddy, MD discussed the merits of computed tomography (CT) colonography, a non-invasive alternative to conventional colonoscopy, which may help reduce gaps in screening for colorectal cancer.

Review top radiology content from the week.

What is your diagnosis?

For patients with stable chest pain and suspected coronary artery disease (CAD), emerging evidence shows that cardiac computed tomography (CT) has a lower risk of major procedure-related complications than catheterization.

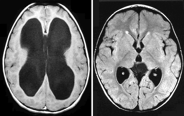
What is your diagnosis?

In a new national coverage determination, the Centers for Medicare and Medicaid Services (CMS) have lowered the starting thresholds for lung cancer screening from 55 to 50 years of age and from a 30-pack/year tobacco smoking history to 20 packs a year.

Researchers say the complementary use of artificial intelligence may significantly improve the accuracy of radiologists in diagnosing intracranial aneurysms.

What is your diagnosis?

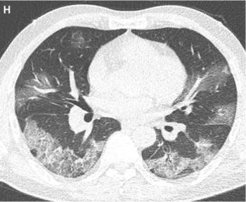
In a recently published study involving hospitalized patients with COVID-19, researchers compared chest CT findings of vaccinated, partially vaccinated, and unvaccinated patients.

What is your diagnosis?

Study findings suggest that assessment with the simpler and more commonly available non-contrast computed tomography (CT) may widen the indication for treating patients in the extended window.