
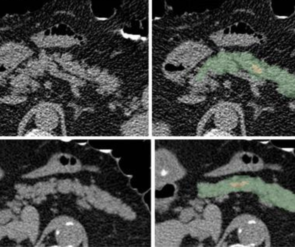
In a recent video interview, two radiology professors from the Yale School of Medicine discussed the impact of the iodinated contrast media (ICM) shortage and potential strategies, ranging from ICM dose reduction to possible deferment of non-urgent imaging, that may provide a viable path moving forward.





























